猫咪气胸

喵星人爱袭胸的原因之一:它们天生爱钻狭窄的空间并
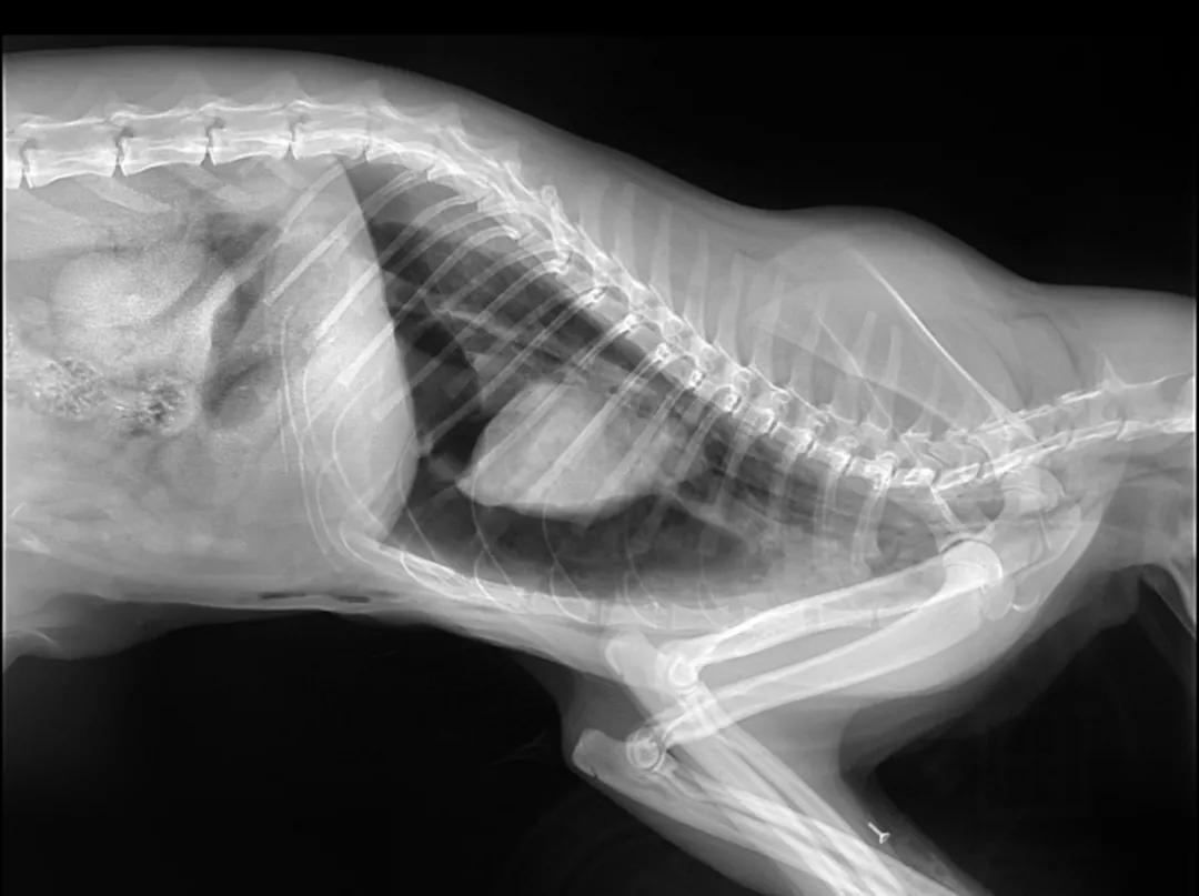
图片尺寸550x398
猫咪坠楼导致「气胸」,面对花花世界,还需注意防护!
图片尺寸1080x807
讨论确诊乳糜胸猫咪突然呼吸急促不精神请有经验的铲屎官医生看一下
图片尺寸1080x609
猫气胸的病例报告
图片尺寸703x687
猫之脓胸并发张力性气胸
图片尺寸431x251
【求助】猫严重胸腔积液,腹部不明团块!
图片尺寸1080x845
一例猫乳糜胸的诊断与治疗
图片尺寸355x320
猫咪的乳房正常吗
图片尺寸1080x810
幼猫胸部凹陷呼吸急促
图片尺寸763x1018
猫气胸的病例报告
图片尺寸701x709
原来猫咪也会患上漏斗胸!
图片尺寸716x457
有没有懂宠物的大神,帮我看看我家橘猫是不是有了
图片尺寸1024x768
猫咪胸腔有积液,不一定是致死率超高的猫传腹,也有可能是脓胸
图片尺寸640x552
治疗犬猫气胸的处方如下,猫咪气胸往往会引起猫咪的呼吸困难,01猫咪
图片尺寸375x270
"猫的胸变得比我还大,这是2次发育了?
图片尺寸1000x750
【求助】猫猫胸腔问题
图片尺寸450x800
求助蓝猫串串先天胸骨扁平漏斗胸更新
图片尺寸1080x1600
【求助】想问问猫咪肝病,该怎么调养?详细情况.
图片尺寸1080x1010
喵喵气炸熊孩子把猫咪撞成气胸家长却倒打一耙
图片尺寸507x329
【影像学】猫的常见肺部疾病
图片尺寸800x451