球形肺炎

球形肺炎(网络远程会诊病例) - 好大夫在线
图片尺寸517x585
球形肺炎症状
图片尺寸500x366
球形肺炎的九大ct表现及重要鉴别诊断
图片尺寸592x603
球形肺炎ppt
图片尺寸1080x810
球形肺炎 的诊断和鉴别诊断ppt
图片尺寸1080x607
球形肺炎(网络远程会诊病例)
图片尺寸517x596
球形肺不张——慧星尾征
图片尺寸960x1280
球形肺不张与球形肺炎的鉴别
图片尺寸750x563
球形肺炎的九大ct表现及重要鉴别诊断
图片尺寸596x483
病例挑战:肺单发类圆形病变---球形肺炎
图片尺寸600x456
图6球形肺炎
图片尺寸682x473
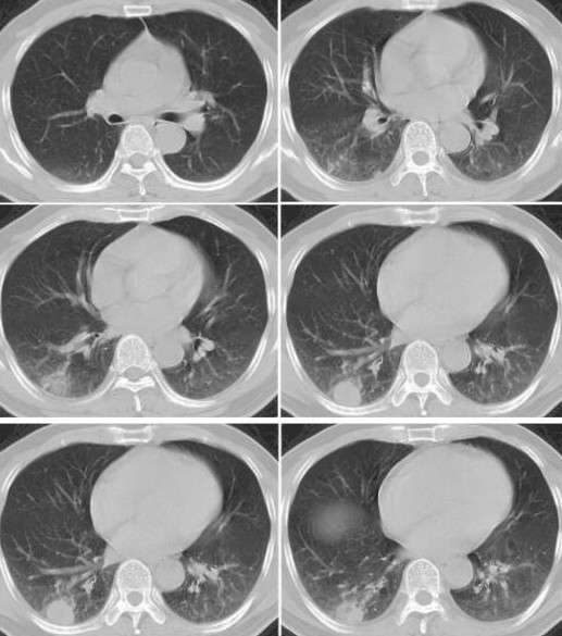
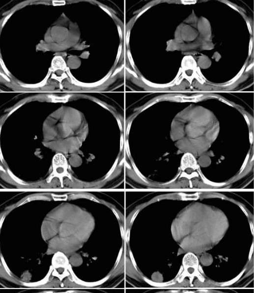
公布结果:患者经抗感染治疗5天后复查ct,阴影基本消失,支持 球形肺炎!
图片尺寸1199x919
肺隐球菌病的临床特点及影像学特征
图片尺寸982x457
球形肺炎的九大ct表现及重要鉴别诊断
图片尺寸596x438
右肺上急性进展大片影—链球菌肺炎
图片尺寸1598x1198
金黄色葡萄球菌肺炎,大咖教你看ct片!
图片尺寸1503x1080
为尿毒症患者维持性血液透析,2017年8月到9月的胸部ct提示球形肺炎,经
图片尺寸600x800
导致整个肺叶实变的病原体中,肺炎链球菌是迄今为止最常见的,其他病原
图片尺寸467x763
球形肺不张与球形肺炎的鉴别
图片尺寸719x1280
肺炎链球菌肺炎
图片尺寸1200x1600