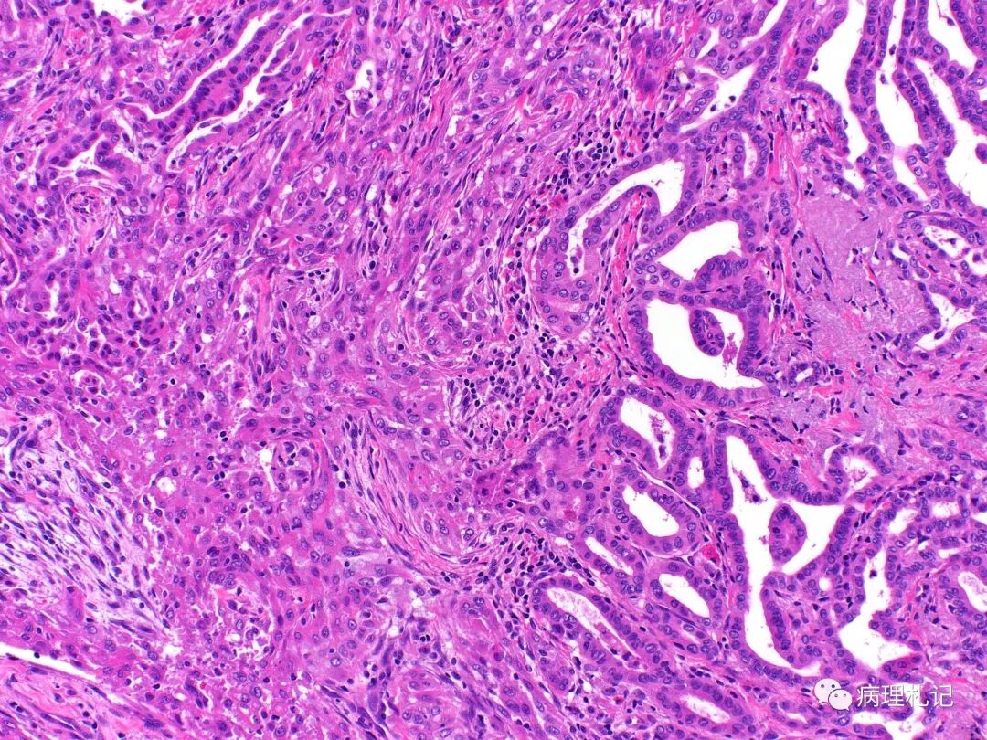
甲状腺乳头癌

甲状腺乳头状癌手术
图片尺寸4031x2696
峡部为主的多灶性乳头甲状腺癌表现为包括vii区的中央区淋巴结明显
图片尺寸828x911
甲状腺乳头状癌切了就安全了吗
图片尺寸1082x810
甲状腺乳头状癌术后反思,寻找我的为什么!
图片尺寸1080x1010
都说我怎么那么想得开,做完甲状腺癌手术.#祝自己早日康复 现 - 抖音
图片尺寸1440x1920
甲状腺微小乳头状癌的自述
图片尺寸640x427
甲状腺乳头状癌|甲状腺|病灶|甲状腺癌|甲状腺多发结节|甲状腺b超
图片尺寸641x855
甲状腺乳头状癌ppt
图片尺寸1080x810
在一组对5万名甲状腺癌随访的研究中发现,乳头状,滤泡状,髓样癌的10年
图片尺寸700x425
二,紧邻右侧喉返神经入喉处的甲状腺微小乳头状癌
图片尺寸750x1000
右侧甲状腺乳头状癌(t2)伴双侧颈淋巴结转移,行双侧颈清 - 好大夫在线
图片尺寸457x610
结果出了,结合病理和基因检测结果来看,应该是确诊甲状腺乳头状癌了
图片尺寸1080x1439
甲状腺乳头状癌真的可以随访观察吗?(上)
图片尺寸640x427
超声引导射频/微波消融是治疗甲状腺乳头状微小癌的重要手段
图片尺寸615x461
甲状腺乳头状癌的治疗
图片尺寸774x477
超声造影联合常规超声检查在甲状腺微小乳头状癌诊断中的效能论文
图片尺寸600x398
术中病理提示:甲状腺乳头状癌在清理淋巴结时,充分保留了甲状旁腺.
图片尺寸322x241
甲状腺乳头状癌图解讨论四例
图片尺寸750x1000
病理视角甲状腺乳头状癌向甲状腺未分化癌的转变
图片尺寸1080x810
甲状腺微小乳头状癌(ptmc)热消融治疗的争议
图片尺寸640x427