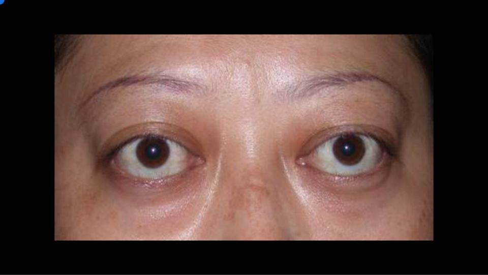
甲状腺突眼

也是临床上棘手的难题,据统计大约50%-60%的graves甲亢伴有甲状腺眼病
图片尺寸1280x960
突眼治疗前后对比治疗前 治疗后甲状腺结节治疗
图片尺寸450x600
通辽甲亢突眼医院_通辽治疗甲亢突眼哪家医院好_通辽治疗甲亢突眼权威
图片尺寸523x332
眼球突出是甲状腺相关眼病的一个典型症状.
图片尺寸640x425
5甲亢饮食注意甲亢患者由于甲状腺激素分泌过多范派2016-03-10 浏览
图片尺寸500x389
甲亢突眼
图片尺寸405x319
女性甲亢突眼图片
图片尺寸533x400
甲亢性突眼,你了解多少?———graves眼病治疗策略
图片尺寸960x541
好痛苦,为什么我会得甲亢突眼?
图片尺寸640x245
3,降低治疗反应;2,増加严重性;1,増加发病率;抽烟对甲状腺相关眼病的
图片尺寸641x444
一文看懂甲状腺相关眼病_眼球_眼睛_疾病
图片尺寸900x338
眼球突出肯定就是甲状腺的毛病吗?
图片尺寸369x197
甲亢突眼_症状表现_相关疾病 - 好大夫在线
图片尺寸800x439
甲状腺相关性眼病(甲亢突眼)的诊治_治疗
图片尺寸232x112
患者:甲亢突眼可以完全恢复吗?
图片尺寸550x263
甲亢突眼
图片尺寸500x374
甲亢突眼
图片尺寸664x362
甲亢突眼_治疗方式_缓解方法 - 好大夫在线
图片尺寸800x481
甲状腺相关眼病眼球突出眼睑浮肿图
图片尺寸400x300
大眼睛不一定是好事或许是甲状腺在作祟
图片尺寸1080x601