甲状腺造影

【讨论】甲状腺病变(三)【伪影太强,此贴只能用来讨论扫描技术方面的
图片尺寸2048x4096
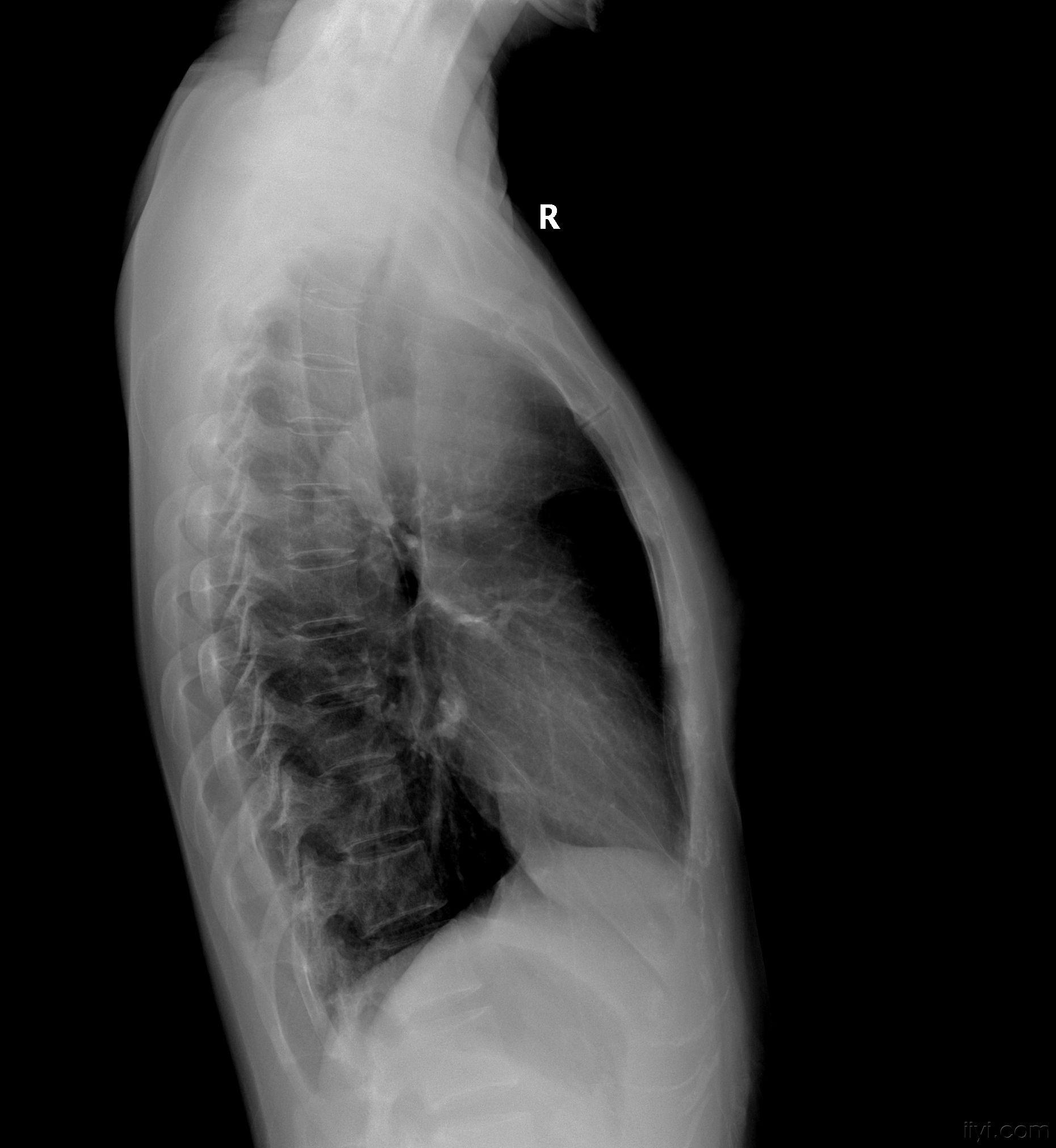
少见病例,大家看看象啥.(已经公布病理: 胸内甲状腺肿)
图片尺寸1860x2022
不打针,不开刀 超声造影鉴别甲状腺结节"良恶"
图片尺寸771x637
甲状腺行超声造影时的注意事项有哪些?
图片尺寸1080x810
甲状腺癌周三上午 造影周日下午穿刺两处——左叶,右叶各穿一个(创烫
图片尺寸1080x1440
60岁/女,体检发现甲状腺结节.增强血管样强化,您见过没---(有结果)
图片尺寸512x512
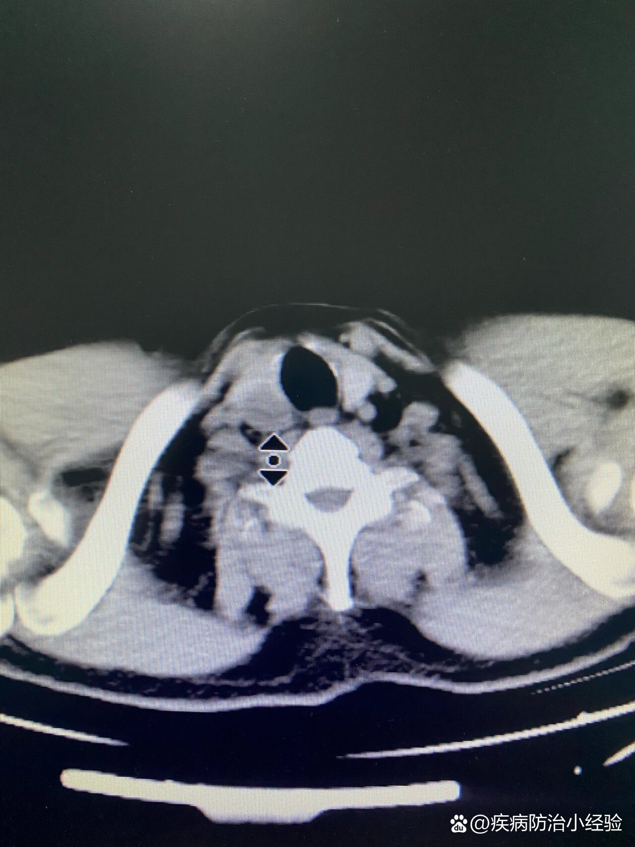
甲状腺右叶低密度影
图片尺寸1280x1706
超声引导甲状腺乳头状癌颈部淋巴结转移热消融治疗
图片尺寸828x466
甲状腺右叶低密度影
图片尺寸1280x1706
异位甲状腺和甲状舌管囊肿的影像表现
图片尺寸798x910
甲状腺消融乳腺消融输卵管造影充实的一天
图片尺寸1080x733
胸内甲状腺肿(22213985)
图片尺寸1280x640
新技术:超声引导下甲状腺结节微波消融治疗
图片尺寸640x480
在甲状腺切除后,观察甲状旁腺腺体并通过吲哚菁绿(icg)荧光血管造影
图片尺寸640x173
甲状腺结节?
图片尺寸4284x4284
甲状腺结节?
图片尺寸4284x4284
04.12~甲状腺结节影像检查流程共识
图片尺寸2529x1835
甲状腺
图片尺寸512x512
甲状腺结节4b武心萍穿刺
图片尺寸1080x1439
甲状腺4b
图片尺寸1080x919