白细胞脓球

还挺漂亮 第二张,脓球!将就 第三张,细菌!漂亮的哟 第四张,霉菌!
图片尺寸650x488
《人体组织学》课程以"中性粒细胞"形成后不在血液中"安享生活",而是"
图片尺寸445x461
所以,不管是白细胞>10个/hp(或出现一个及以上" "时),或有脓细胞(脓球
图片尺寸508x239
这时候人基本上就成了一个"脓球",根本动都不能动,一动皮肤就会破溃
图片尺寸722x406
镜检如图1,2,3,4所示:黏膜内可见大量体积大,胞浆丰富的细胞聚集成团
图片尺寸381x573
头皮发麻!他吃了顿酸菜鱼生就丢了个肝!紧急提示!
图片尺寸600x523
尿液形态学分析day③尿常规结晶73
图片尺寸1080x1080
孩子大便开始便秘然后腹泻便血,查大便有白细胞脓球,潜血
图片尺寸648x1152
这时候人基本上就成了一个"脓球",根本动都不能动,一动皮肤就会破溃
图片尺寸1000x576
脓球,显微镜下的它们 都是张牙舞爪的有他们存在的地方,怎能不痒 白带
图片尺寸800x411
霉菌转阴分享
图片尺寸960x1280
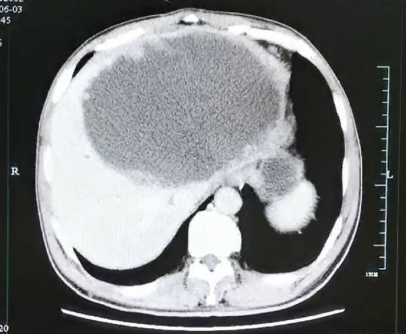
大脓球达到19cm×18cm×12cm大小.
图片尺寸800x660![有点丑[擦汗]67◆第26615张,脓球!](https://i.ecywang.com/upload/1/img0.baidu.com/it/u=1977006155,175652323&fm=253&fmt=auto&app=138&f=JPEG?w=500&h=500)
有点丑[擦汗]67◆第26615张,脓球!
图片尺寸800x800
应用爱威(ave)尿液分析仪,审核报告时发现干化学白细胞阴性而沉渣白
图片尺寸494x418
孩子大便开始便秘然后腹泻便血,查大便有白细胞脓球,潜血
图片尺寸1152x648
今天 02:00 网友采纳 化验单二个十号证实前列腺发炎脓细胞2一4hp
图片尺寸600x800
尿常规结果虽然白细胞还有一个" ",但尿脓球也消失了,并且第二次培养
图片尺寸2272x1196
ct,等结果出来后我们都吓了一跳,患者的肝脏内竟然有一个超大的"脓球"
图片尺寸640x480
急性男性前列腺炎患者康复密码
图片尺寸1080x759
孩子大便开始便秘然后腹泻便血,查大便有白细胞脓球,潜血
图片尺寸648x1152