皮角 病理

皮角一例
图片尺寸2520x2263
表皮松解性掌跖角皮症组织病理
图片尺寸750x1069
前臂皮角 - 专科病理>>皮肤病理 - 华夏病理网
图片尺寸748x636
前臂皮角 - 专科病理>>皮肤病理 - 华夏病理网
图片尺寸719x647
皮肤表皮的变化
图片尺寸493x402
前臂皮角 - 专科病理>>皮肤病理 - 华夏病理网
图片尺寸311x270
前臂皮角 - 专科病理>>皮肤病理 - 华夏病理网
图片尺寸738x640
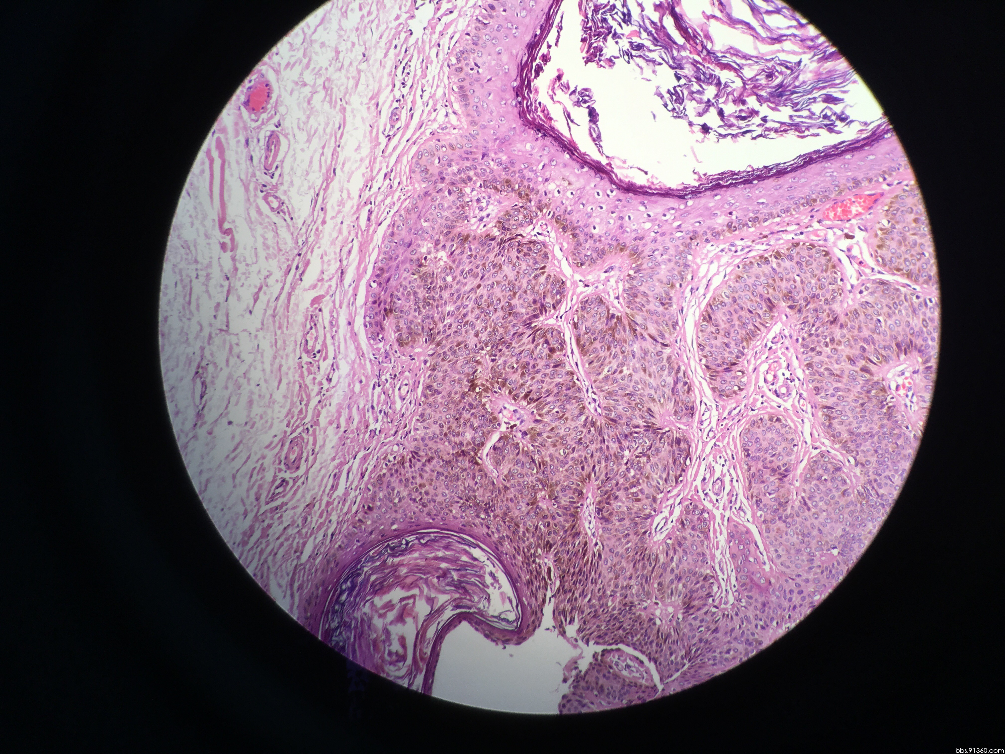
0628【91360皮肤沙龙病例160】 - 皮肤病理 - 91360病理论坛
图片尺寸4032x3024
前臂皮角 - 专科病理>>皮肤病理 - 华夏病理网
图片尺寸747x632
前臂皮角 - 专科病理>>皮肤病理 - 华夏病理网
图片尺寸344x270
前臂皮角 - 专科病理>>皮肤病理 - 华夏病理网
图片尺寸317x270
一例典型病例——皮角
图片尺寸3264x2448
前臂皮角 - 专科病理>>皮肤病理 - 华夏病理网
图片尺寸313x270
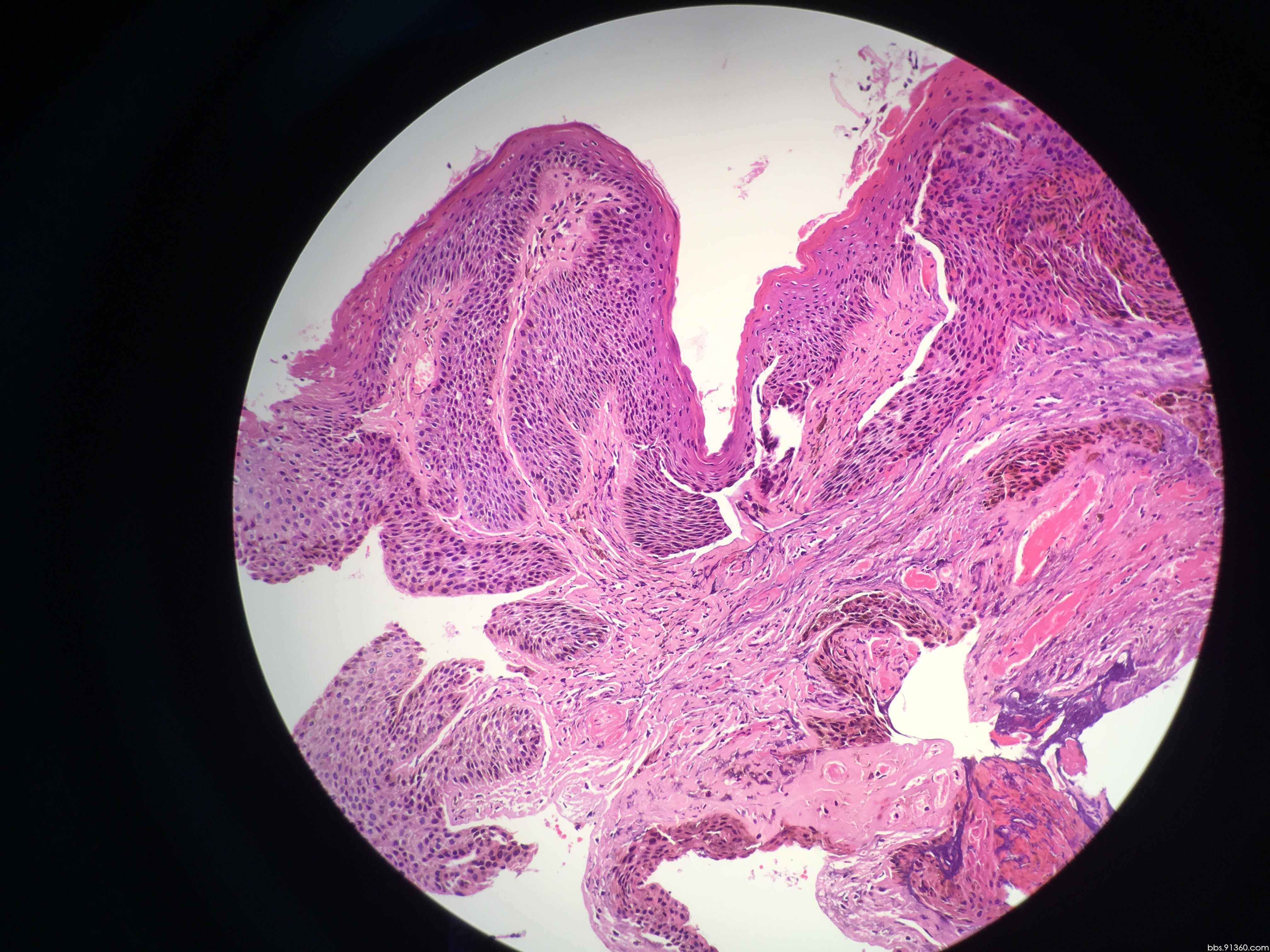
0628【91360皮肤沙龙病例160】 - 皮肤病理 - 91360病理论坛
图片尺寸4032x3024
前臂皮角 - 专科病理>>皮肤病理 - 华夏病理网
图片尺寸748x639
角化棘皮瘤讨论病例【病理同学群病例68】
图片尺寸960x1280
表皮松解性角化过度症的皮肤组织病理学改变
图片尺寸1000x688
22【91360皮肤沙龙案例13】 - 皮肤病理 - 91360病理论坛
图片尺寸1280x950
前臂皮角 - 专科病理>>皮肤病理 - 华夏病理网
图片尺寸320x270
陈医生皮肤科普《皮角》
图片尺寸1280x720