直肠黏膜松弛

直肠黏膜脱垂图普
图片尺寸690x457
(文中图片来源于网络,侵则删)直肠粘膜松弛作为直肠粘膜脱垂的初期
图片尺寸500x375
西安马应龙肛肠医院打响小马i计划成功举行直肠脱垂altemeier手术直播
图片尺寸791x531
【内脏与疼痛】直肠和肛管的解剖_括约肌_腹膜_黏膜
图片尺寸1080x917
直肠黏膜下隆起esd内附操作视频
图片尺寸695x562
no.48:直肠膨出会导致便秘吗?
图片尺寸1080x806
幼儿直肠脱垂以保守治疗为主;成人的黏膜脱垂多采用硬化剂注射治疗
图片尺寸395x337
1,直肠息肉直肠息肉多是呈乳白色或淡粉色附着在肠黏膜覆盖下,可表现
图片尺寸983x656
结直肠息肉内镜下切除术(华西版)_病变_黏膜_手术
图片尺寸574x984
你好医生我昨天在医院做肠镜检查医生说我直肠黏膜充血,其他正常,就是
图片尺寸768x1024
【疾病与预防】总便秘腹泻,警惕直肠脱垂!
图片尺寸385x220
脱出的部分如果只是直肠黏膜,称部分性脱垂.
图片尺寸317x235
脱垂的直肠呈圆锥形,脱出物常以直肠腔为中心呈现为同心圆排列的黏膜
图片尺寸827x318
了个体化治疗方案,决定采取"腹腔镜下经括约肌间超低位直肠前切除术"
图片尺寸697x476
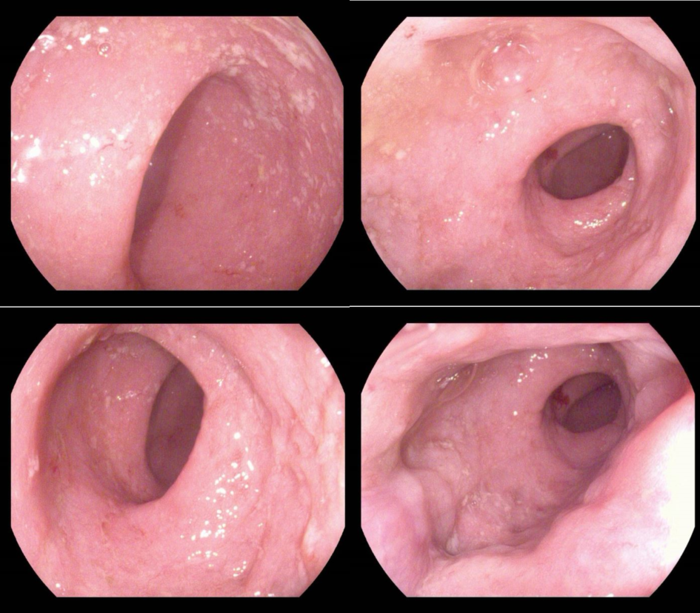
16于我院行肠镜检查:距肛10cm以下直肠黏膜
图片尺寸700x613
直肠黏膜下隆起esd内附操作视频
图片尺寸695x562
别让直肠脱垂"一托了之"_肛门_黏膜_治疗
图片尺寸640x382
药大学第二附属医院)肛肠四科后,考虑到儿童的直肠全层脱垂十分少见
图片尺寸641x363
从今年2月在上海第十人民医院复查肠镜:距肛缘20cm以下至直肠黏膜弥漫
图片尺寸700x580
医生提醒:留意这3种病_直肠_李先生_黏膜
图片尺寸1280x777