真菌性鼻窦炎

要警惕真菌性鼻窦炎
图片尺寸1080x1113
这是一种鼻腔鼻窦的特异性感染性疾病,叫"真菌性鼻窦炎"或者"霉菌性
图片尺寸500x374
真菌性鼻窦炎影像学诊断
图片尺寸600x600
什么是真菌性鼻窦炎
图片尺寸442x359
鼻科医生:鼻腔散发腥臭味,有6种原因,尤其要当心是恶性肿瘤4,鼻腔鼻窦
图片尺寸640x660
鼻窦炎症状图片 (44)
图片尺寸406x400
真菌性鼻窦炎有哪些症状,怎么治疗?
图片尺寸259x258
鼻窦炎症状图片 (44)
图片尺寸407x400
图文解说真菌性鼻窦炎的诊断与治疗
图片尺寸640x360
真菌性鼻窦炎影像学诊断
图片尺寸600x600
丁香园论坛
图片尺寸600x900
真菌性鼻窦炎
图片尺寸1080x810
鼻窦炎症状图片 (44)
图片尺寸422x400
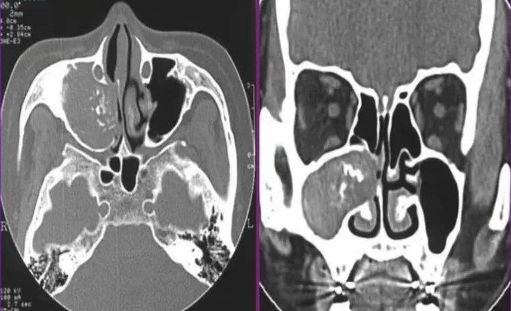
反复头痛鼻腔异味警惕真菌性鼻窦炎
图片尺寸1032x628
头痛有可能是真菌性蝶窦炎_鼻窦炎_鼻窦炎症状表现 - 好大夫在线
图片尺寸317x324
真菌性鼻窦炎影像学诊断
图片尺寸600x600
因此,真菌性鼻窦炎和真菌性外耳道炎,发病率还是蛮高的.
图片尺寸800x600
鼻窦炎症状图片 (44)
图片尺寸403x400
真菌性鼻窦炎影像学诊断
图片尺寸600x600
p>真菌性鼻窦炎又称 a href="#" data-lemmaid="2228609">霉菌性鼻窦
图片尺寸289x263