眼眶畸胎瘤

眼眶畸胎瘤
图片尺寸140x90
病案足以掩盖眼球的新生儿恶性眼眶畸胎瘤
图片尺寸536x509
眼眶畸胎瘤
图片尺寸651x434
河南2岁女童"离奇怀孕",医生一查被吓坏:毛发和眼球都有了|畸胎瘤
图片尺寸660x665![【眼眶病讨论】绝对震撼--眼眶巨大肿瘤 [精华]](https://i.ecywang.com/upload/1/img1.baidu.com/it/u=162504815,1898777176&fm=253&fmt=auto&app=138&f=JPEG?w=500&h=375)
【眼眶病讨论】绝对震撼--眼眶巨大肿瘤 [精华]
图片尺寸1280x960
病案足以掩盖眼球的新生儿恶性眼眶畸胎瘤
图片尺寸536x300
十年岁月眼中小肿物长成"大樱桃"_脂肪_眼眶_生活
图片尺寸1080x810
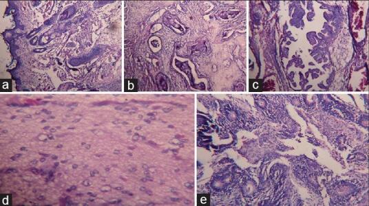
眼内畸胎瘤一例
图片尺寸737x500
《镜报》8月9日报道,印度一位23岁女子的左眼患有先天性眼眶畸胎瘤
图片尺寸590x504
眼眶内的毛细血管瘤会影响视力吗?
图片尺寸748x425
眼眶整形手术——在追求完美的道路上不断探索
图片尺寸508x638
男童突然"眼歪了" ,竟是眼眶内长了.
图片尺寸600x399
眼眶炎性假瘤
图片尺寸497x497
病例分享(33)眼眶炎性假瘤1例
图片尺寸528x404
眼眶海绵状血管瘤眼周下肿物图
图片尺寸400x300
罗马尼亚一女子眼旁长巨瘤 渴望切除重获新生
图片尺寸1920x1080
武汉晚报自拍发现脸歪竟是眼眶内长肿瘤
图片尺寸2142x2477
眼内长鸡蛋般巨大肿瘤女子眼球被挤出眼眶
图片尺寸660x450
四岁男童眼眶中长出鹌鹑蛋大肿瘤
图片尺寸1080x1440
病例分享高龄患者的眼眶肿物仍需要手术
图片尺寸750x750