石骨症

男童患罕见石骨症,谁能拯救这百万分之一的不幸
图片尺寸1552x1185
对"石骨症"的粗浅认识 - 美篇
图片尺寸960x720
成人型石骨症一例-medsci.cn
图片尺寸291x455
岳阳市中医院放射科-石骨症病例分享 - 美篇
图片尺寸1920x2094
让你一次看个够:石骨症 8 例解析 - 丁香园
图片尺寸640x480
罕见皮肤病石头男孩不能走路和说话-别有病 byb.cn-纯自然疗法 攻克亚
图片尺寸500x592
河南7岁女孩与妹妹全身骨头钙化,孩子却懂事的让人心酸
图片尺寸278x570
【原创】石骨症 - 医学影像学讨论版 - 爱爱医医学论坛
图片尺寸792x1024
让你一次看个够:石骨症 8 例解析 - 丁香园
图片尺寸630x630
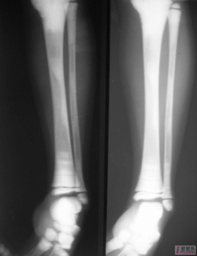
【原创】石骨症 - 医学影像学讨论版 - 爱爱医医学论坛
图片尺寸787x1024
恐怖|每天喝酒半斤以上,株洲大叔全身关节长满石头变身"树人"!
图片尺寸1080x651
罕见的石人综合症
图片尺寸600x600
让你一次看个够:石骨症 8 例解析 - 丁香园
图片尺寸630x630
难得一见的石骨症,请收藏!
图片尺寸1080x666
涟水论坛,经典中国,安东州旗下分类,打造地方第一人气论坛! - powered
图片尺寸634x896
湖南女子患少见石骨症,天生颅骨比常人厚3倍!
图片尺寸827x591
婴儿恶性石骨症伴小下颌畸形一例_参考网
图片尺寸800x697
骨髓纤维化,石骨症,肾性骨病 - 美篇
图片尺寸893x734
石骨症的综述_百度知道
图片尺寸569x428
石骨症 - 骨科与显微外科专业讨论版 - 爱爱医医学论坛
图片尺寸2048x1536