硬膜下血肿ct

慢性硬膜下血肿为何"偏爱"老年人?
图片尺寸2008x926
慢性硬膜下血肿
图片尺寸1200x1600
慢性硬膜下血肿
图片尺寸2448x3264
查体未见明显异常 辅助检查:行头颅ct提示左侧颞顶部硬膜外血肿,硬膜
图片尺寸680x680
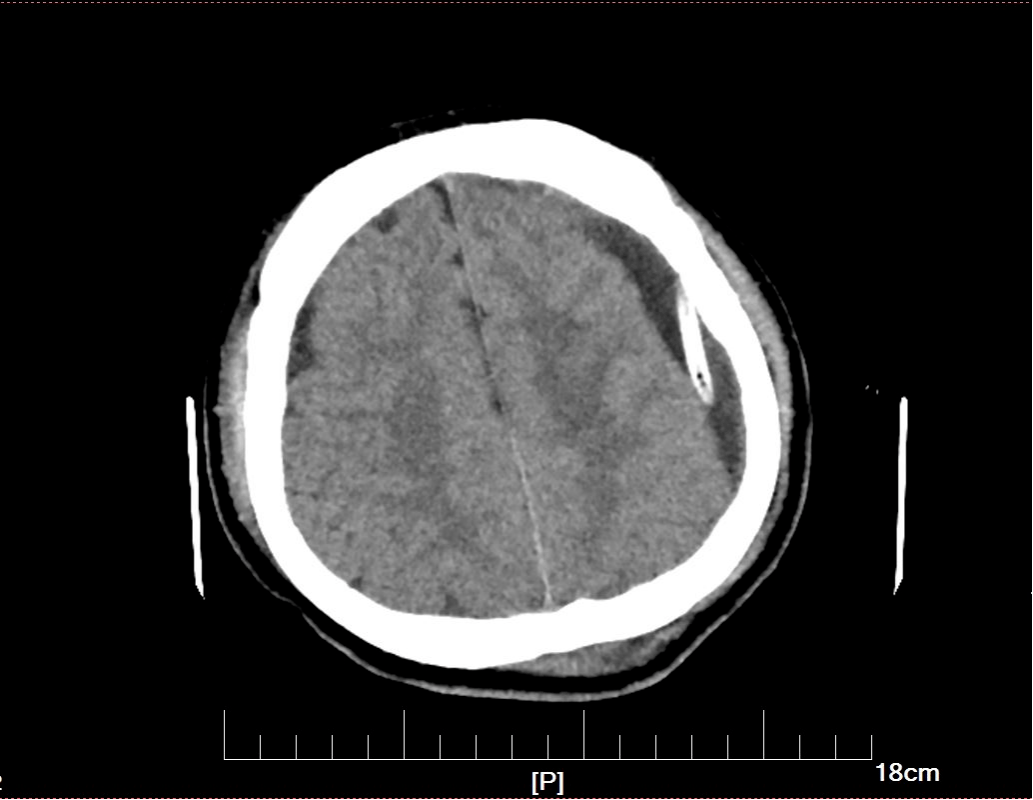
左侧硬膜下血肿:呈等密度,有占位效应,中线结构移位.
图片尺寸494x572
慢性硬膜下血肿病人可通过头部ct或mri检查明确诊断,典型表现为颅骨内
图片尺寸1025x1025
硬膜外血肿与硬膜下血肿的影像学表现 - 好大夫在线
图片尺寸446x423
ct入门教学(六):硬膜下血肿和硬膜外血肿的鉴别_哔哩哔哩_bilibili
图片尺寸1724x1078
老年人头部外伤后需警惕慢性硬膜下血肿的发生
图片尺寸960x1280
机化性慢性硬膜下血肿一例
图片尺寸1241x1280![【病例讨论】匪夷所思的硬膜下血肿 [病例帖]](https://i.ecywang.com/upload/1/img1.baidu.com/it/u=878520052,1656171530&fm=253&fmt=auto&app=138&f=JPEG?w=1106&h=500)
【病例讨论】匪夷所思的硬膜下血肿 [病例帖]
图片尺寸1312x593
【ct拟诊】①硬膜下血肿
图片尺寸920x1051
又一列硬膜外血肿的病人
图片尺寸3648x2736
1例血液酒精高浓度伴致命性急性硬膜下血肿报道
图片尺寸810x1068
慢性硬膜下血肿
图片尺寸1536x2048
【住培-影像病例精读-颅脑创伤】病例5 硬膜下血肿
图片尺寸1080x591
图文解析:急性硬膜下血肿手术步骤及注意要点
图片尺寸640x250
科室见面会天坛医院刘伟明吴量慢性硬膜下血肿的穷尽引流法及中药治疗
图片尺寸1029x801
科室见面会天坛医院刘伟明吴量慢性硬膜下血肿的穷尽引流法及中药治疗
图片尺寸1033x800
慢性硬膜下血肿
图片尺寸3264x2448