碘化钾染色

南农前沿近期科研成果扫描
图片尺寸550x569
eplgma-3h共混后的(a)生长情况,(b)细菌存活率,(c)活/死细菌染色照片
图片尺寸670x575
碘-碘化钾染液
图片尺寸800x600
chinese journal of materials research
图片尺寸620x392
显微镜下感悟生命的精彩 实验教学丰满蜀光学子的智慧
图片尺寸1200x1200
genomic and probiotic characterization of sjp-snu
图片尺寸638x626
71建党日特别策划捕捉最美科研瞬间摄影展
图片尺寸1080x807
烟草花粉活力检测方法筛选
图片尺寸3780x4036
knockdown of klf5 suppresses hypoxia-induced resist
图片尺寸785x757
碘液遇细胞核为什么变成红褐色
图片尺寸800x600
四川 科隆 碘化钾分析纯ar化学试剂 批发色谱优级纯基准生物
图片尺寸680x822
瑞氏-姬姆萨复合染色液_特殊细胞染色液_染色液_染色试剂_索莱宝-专业
图片尺寸850x850
武汉碘化钾
图片尺寸864x1280
苹果汁,马铃薯匀浆,蛋清稀释液 试剂:本尼迪特试剂,碘-碘化钾溶液,双
图片尺寸2000x2667
development and evaluation of serotype-specific reco
图片尺寸785x493
碘化钾供应商
图片尺寸601x600
博落回中四种生物碱的薄层鉴别研究
图片尺寸1000x1012
紫肖的美篇
图片尺寸2667x2000
两例甲状旁腺功能亢进高钙血症治疗体会
图片尺寸900x833
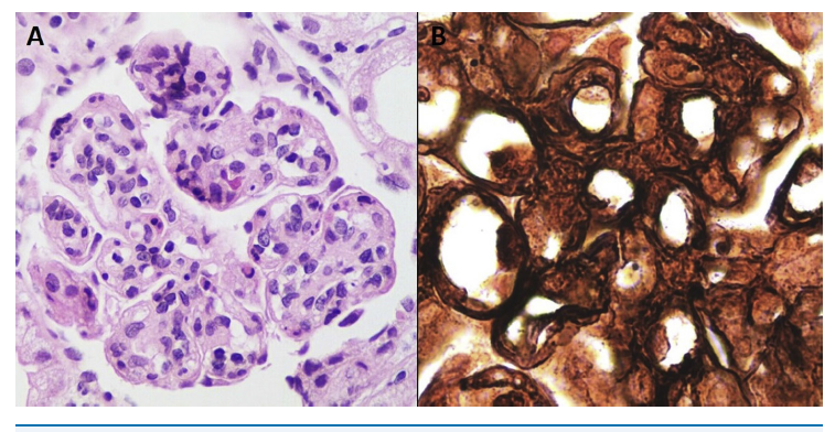
一例特殊发病机制的继发性肾病综合征
图片尺寸757x392