磁共振头颅

症状逐渐缓解,经康复治疗至术后3周查体基本恢复正常;复查头颅ct显示
图片尺寸821x405
患者头颅磁共振成像未见异常
图片尺寸640x357
头颅磁共振dwi高信号一定就是脑梗死吗?
图片尺寸600x682
正常小儿颅脑的磁共振表现
图片尺寸640x480
几分钟就扫完的头颅mri mra,是你想要的?_时间_序列
图片尺寸1041x630
术前头部核磁共振(mri)
图片尺寸641x321
患者初诊时头颅磁共振.上海新华医院 供图
图片尺寸601x517
英攻克磁共振成像新技术(图)
图片尺寸310x319
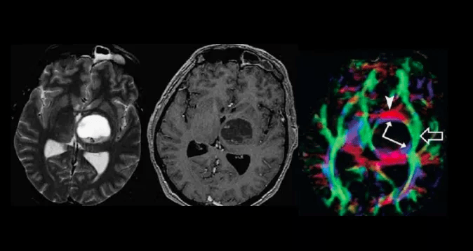
磁共振功能成像dti2
图片尺寸674x358
图文详解丨怎样区分不同序列的磁共振图像?
图片尺寸394x516
医学动态病例分享磁共振增强在脑占位病变诊断中的重要性
图片尺寸750x1000
这些头颅mri伪影你见过几个
图片尺寸1079x722
正常小儿颅脑的磁共振表现
图片尺寸960x720
头颅磁共振dwi高信号一定就是脑梗死吗?
图片尺寸600x668
基础必备 | 脑部磁共振呈像
图片尺寸640x480
正常小儿颅脑的磁共振表现
图片尺寸960x720
头颅磁共振dwi高信号一定就是脑梗死吗?_手机搜狐网
图片尺寸600x643
术前的核磁共振动脉造影,显示大脑前动脉及其分支被肿瘤向后及上方
图片尺寸1600x923
业务焦点超越极限遇见未来淄博市妇幼保健院30t西门子磁共振
图片尺寸696x629
何阿姨脑部磁共振检查图,标识部分为脑囊虫头节.广医二院供图
图片尺寸549x660