种植牙疼不疼

说不疼确定不是骗人吗7115_口腔_牙齿种植_医疗健康_医疗健康其他
图片尺寸959x1280
种植牙到底有多痛苦全过程实拍
图片尺寸630x350
亲身经历种植牙过程,你感觉的害怕在那一刻才真正体会到!
图片尺寸640x416
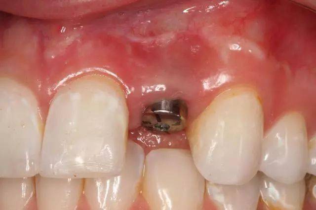
医生我的种植牙生病了怎么办还留的住吗种植体周围炎详解
图片尺寸782x1140
种植牙前后对比图
图片尺寸600x450
退休老伯告诉你种植牙到底疼不疼的真实感受
图片尺寸1202x688
种植牙图片
图片尺寸600x400
0806种植牙2.png
图片尺寸3090x1259
微创种植牙手术过程
图片尺寸500x311
种植牙痛苦吗疼不疼
图片尺寸640x426
种植牙疼不疼过来人说出真相
图片尺寸1080x720
东莞种植牙疼不疼能用多长时间
图片尺寸1011x527
中心医院口腔种植牙权威专家揭秘种植牙全过程
图片尺寸553x369
2,男,30岁,左下第一磨牙缺失2年,牙槽骨足够,微创手术植入1个种植体
图片尺寸605x569
94种植牙作为现在我们缺牙修复的主要方法,其修复效果好,深受我们不
图片尺寸1080x540
梁光强走进民营快速开展种植牙
图片尺寸640x886
牙疼不是牙疼!
图片尺寸570x380
满嘴全部种牙我一想就很害怕,你们种牙疼不疼?
图片尺寸450x456
植牙疼不疼种植牙过程疼吗
图片尺寸750x567
种植牙真的会疼吗?牙医:说种牙很疼的人,其实是没有做过种植牙!
图片尺寸640x426