红细胞凝集原

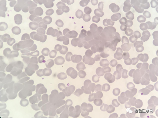
面对一份「高冷」的红细胞凝集标本,你会如何处理?
图片尺寸552x414
一例血常规中发现的红细胞冷凝集
图片尺寸660x660
交叉配血试验中的红细胞凝集.用手机拍照.
图片尺寸1121x1100
红细胞凝集图(照片来自网络)
图片尺寸1586x1004
红细胞凝集
图片尺寸1200x767
红细胞凝集
图片尺寸444x335
无法纠正的红细胞凝集结果到底该如何发
图片尺寸542x408
其划分依据是根据人类红细胞表面所含不同的凝集原而定
图片尺寸2000x1340
遇到红细胞冷凝集的应对措施
图片尺寸486x416
面对一份「高冷」的红细胞凝集标本,你会如何处理?
图片尺寸553x558
交叉配血试验中的红细胞凝集.用手机拍照.
图片尺寸1100x1133
交叉配血试验中的红细胞凝集.用手机拍照.
图片尺寸1100x1101
面对一份「高冷」的红细胞凝集标本,你会如何处理?
图片尺寸553x415
abo血型物质(凝集原)除存在于红细胞膜上外,还出现于唾液,胃液
图片尺寸380x400
根据红细胞表面有无特异性抗原(凝集原)a和b来划分的血液类型系统.
图片尺寸606x399
一例血常规中发现的红细胞冷凝集
图片尺寸660x660
血常规红细胞凝集,温浴无法纠正怎么办?
图片尺寸517x739
无法纠正的红细胞凝集,结果到底该如何发?
图片尺寸420x403
红细胞凝集
图片尺寸300x193
红细胞凝集
图片尺寸220x142