纤维母细胞画图

结肠良性纤维母细胞性息肉
图片尺寸2592x1944
纤维母细胞产生胶原纤维并转化为纤维细胞模式图
图片尺寸250x286
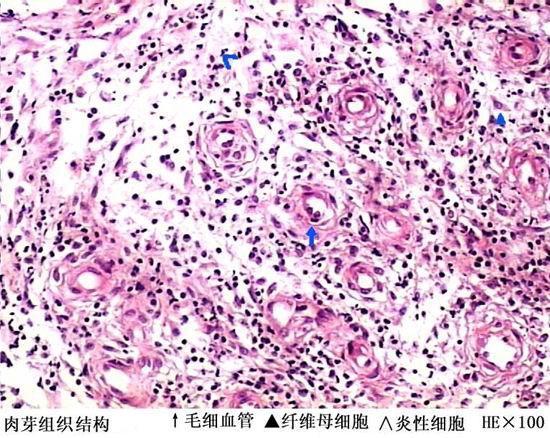
肉芽组织: 可见纤维母细胞,炎细胞和毛细血管 纤维母细胞 炎细胞 毛细
图片尺寸1080x810
皮肤成纤维母细胞
图片尺寸550x469
肉芽组织: 可见纤维母细胞,炎细胞和毛细血管 纤维母细胞 炎细胞 毛细
图片尺寸1080x810
胞浆淡红染界限不清,核马蹄形,(长梭形核的是纤维母细胞),在血管内为
图片尺寸3297x3000
浅表性cd34阳性的纤维母细胞肿瘤
图片尺寸1181x945
自体纤维母细胞,皮肤抗衰首选!
图片尺寸695x694
衡道丨干货纤维母细胞和肌纤维母细胞性肿瘤中
图片尺寸1024x584
人皮肤成纤维细胞
图片尺寸788x549
自体纤维母细胞皮肤抗衰首选
图片尺寸499x309
衡道丨干货纤维母细胞和肌纤维母细胞性肿瘤上
图片尺寸1080x823
炎性肌纤维母细胞瘤?讨论病例【9360.软组织195】
图片尺寸2047x2048
衡道丨干货纤维母细胞和肌纤维母细胞性肿瘤中
图片尺寸1018x578
自体纤维母细胞皮肤抗衰首选
图片尺寸500x375
echanical tissue
图片尺寸550x438
浅表性cd34阳性的纤维母细胞肿瘤
图片尺寸1181x945
神经母细胞瘤诊断三部曲
图片尺寸1043x773
衡道丨干货纤维母细胞和肌纤维母细胞性肿瘤中
图片尺寸998x580
成纤维细胞
图片尺寸300x225