结肠炎CT图片

消化科医生开出这样一份结肠ct检查影像科直呼不敢做
图片尺寸950x1230
术前ct:升结肠,横结肠明显梗阻扩张,最宽处达10cm.
图片尺寸3968x2976
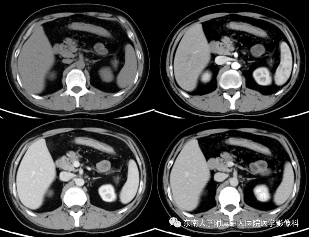
入院时ct
图片尺寸3648x2736
术前ct:箭头所示为横结肠肿物,引起上段结肠明显梗阻扩张,下段结肠
图片尺寸3968x2976
既往多次住院,ct均有升结肠扩张
图片尺寸640x480
消化科医生开出这样一份结肠ct检查影像科直呼不敢做
图片尺寸660x598
肠壁增厚的ct诊断_结肠_下图_病人
图片尺寸900x549
7-14 ct检查7-13肠镜:直乙结肠炎症,符合溃疡性结肠炎.
图片尺寸494x777
易误诊或漏诊的疾病:结肠憩室炎
图片尺寸1920x1080
10 消化系统疾病——溃疡性结肠炎_手机搜狐网
图片尺寸1080x829
小肠ct表现,可见肠管增厚及肠系膜根部淋巴结肿大
图片尺寸800x636
肠壁增厚的ct诊断_结肠_下图_病人
图片尺寸900x607
8个方面讲述肠壁增厚 – ct形态
图片尺寸960x720
炎症性肠病的ct诊断影像天地
图片尺寸960x720
炎症性肠病的ct诊断影像天地
图片尺寸960x720
病情变化后复查ct
图片尺寸3648x2736
溃疡性结肠炎
图片尺寸1080x1439
炎症性肠病的ctmri诊断影像天地
图片尺寸960x720
一例89岁高龄乙状结肠扭转病人
图片尺寸1440x1080
溃疡性结肠炎ct表现
图片尺寸475x270