缺血性骨坏死

股骨头缺血性坏死患者手册
图片尺寸865x386
临床上月状骨受伤引起缺血性坏死的经典病例 请各位老师支招
图片尺寸1024x768
双侧股骨头缺血性坏死病历分享
图片尺寸2667x2000
影像总结股骨头缺血坏死的病理基础及影像学表现
图片尺寸512x604![儿童胫骨骨缺损,治疗方案 [病例帖]](https://i.ecywang.com/upload/1/img1.baidu.com/it/u=752531248,1206466722&fm=253&fmt=auto&app=138&f=JPEG?w=500&h=375)
儿童胫骨骨缺损,治疗方案 [病例帖]
图片尺寸4608x3456
骨坏死
图片尺寸403x467
正常股骨头与缺血性坏死股骨头的主要区别是什么
图片尺寸585x465
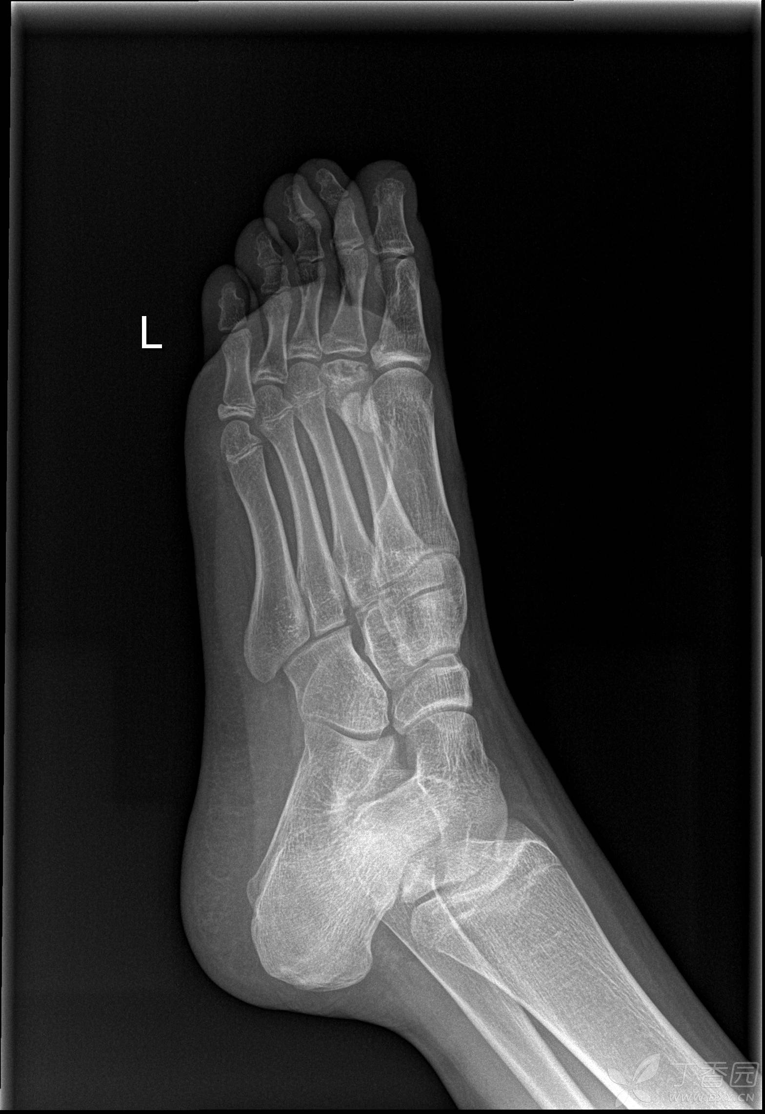
跖骨头缺血坏死补充一例.
图片尺寸1584x2284
骨坏死 版2 赵德伟 主编 缺血性骨坏死病因和病理学治疗有菌性股骨头
图片尺寸800x800
股骨头缺血性坏死的基本知识
图片尺寸4032x3024
跖骨头缺血坏死补充一例.
图片尺寸1568x2284
股骨头缺血性坏死的基本知识_股骨头坏死_疾病介绍_介绍 - 好大夫在线
图片尺寸4032x3024
足freiberg病 第二跖骨头缺血坏死_骨坏死_发病原因_症状表现_治疗
图片尺寸960x1280
外伤后7年大多角骨膨胀性骨质破坏动脉瘤样骨囊肿缺血性坏死
图片尺寸3072x4096
医学精品课件61股骨头缺血性坏死
图片尺寸920x690
高龄股骨头缺血性坏死病例
图片尺寸1280x960
双侧股骨头缺血性坏死病历分享
图片尺寸2000x2667
双侧股骨头缺血性坏死病历分享
图片尺寸2667x2000
骨坏死
图片尺寸480x633
三医院血管外科成功救治一个90岁的下肢部分坏死患者
图片尺寸1600x1200