美女满口蛀牙

24岁女子牙齿全腐烂脱落 完美微笑彻底被毁
图片尺寸615x878
我自己看了都害怕,专家看了都直皱眉头.
图片尺寸648x864
伊能静大笑,露出满口黑黑虫牙十分雷人
图片尺寸640x416
女朋友因为蛀牙做过一次根管治疗了,几个月前这颗牙彻_圈子-新氧美容
图片尺寸828x820
颜好毁在细节上笑出虫牙的女神你爱吗
图片尺寸640x453
田兴医师为学生检查时发现蛀牙
图片尺寸650x433
周慧敏领衔满口黄牙照样走红的10大当红女星图
图片尺寸690x476
蛀牙吗
图片尺寸960x1280
"美容教主"伊能静大笑露出满嘴蛀牙,形象全无,只顾脸没顾牙!
图片尺寸640x779
美女蛀牙牙疼图片
图片尺寸1200x798
你觉得无所谓的9个小毛病,代表你的身体健康即将崩溃!
图片尺寸600x399
好好一美女,全毁牙上了|素人版甘望星99_蛀牙_补牙_美女_刷牙_牙齿
图片尺寸1080x1441
由于喜欢吃甜食一颗牙齿反复蛀牙最终无法保留只能拔掉听别人说种植牙
图片尺寸500x889
深圳补牙是很贵吗,蛀牙一颗要不要300块钱? - 知乎
图片尺寸1280x853
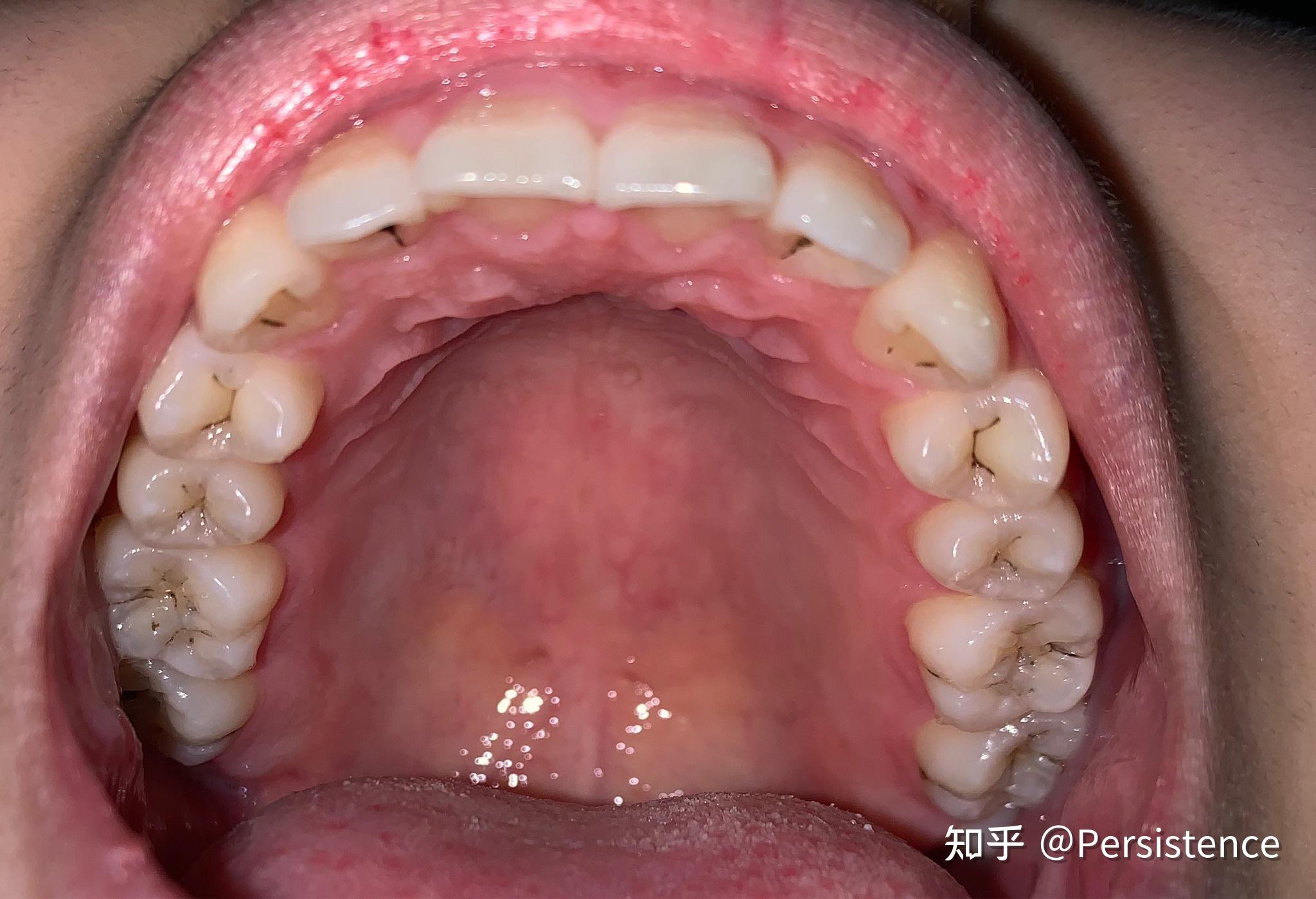
满口蛀牙是什么感觉? - 知乎
图片尺寸2048x1398
牙齿健康太重要了!一起来防止蛀牙
图片尺寸1080x1440
妙龄女满口蛀牙
图片尺寸600x403
为何女性比男性更容易蛀牙?
图片尺寸600x400
龋齿(蛀牙)非常严重怎么办? - 知乎
图片尺寸2160x2875
范冰冰张柏芝蔡卓妍 十大美女明星的另类"丑照"
图片尺寸498x369