耳蜗横切面

耳蜗切面
图片尺寸1462x1003
不是.这是人耳朵里的耳蜗的横断面.它的外观在第二幅图里,像个蜗牛
图片尺寸1939x1280
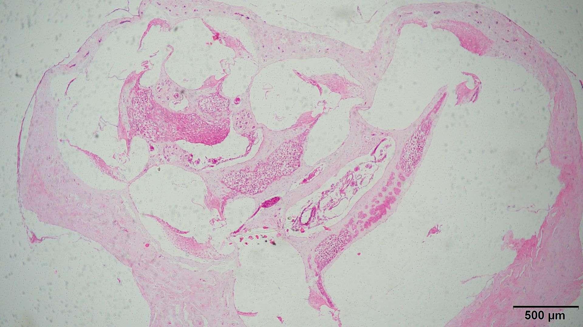
我这个耳蜗切片为什么找不到前庭膜和蜗管结构啊
图片尺寸1920x1080
耳蜗横切面vintage图片
图片尺寸800x664
耳蜗蜗管切面
图片尺寸450x346
蜗管横切面
图片尺寸492x317
耳蜗
图片尺寸2331x1309
耳蜗结构介绍
图片尺寸1500x970
👂耳蜗结构解析🔍
图片尺寸1017x503
耳蜗横切面上看有3个腔,感受声波的腔在中部,名为蜗管,蜗管内有淋巴液
图片尺寸1332x1282
预防耳石症,这些诱因你必须知道!
图片尺寸553x358
是因为外耳道的自然共振效应,耳蜗的解剖结构和听神经的分布等因素
图片尺寸945x945
图4-28 蜗管横切面-人体解剖学-医学
图片尺寸1552x990
耳蜗的结构
图片尺寸725x721
enovo颐诺人体螺旋器corti器科蒂氏器官耳鼻喉科耳朵模型医学用
图片尺寸1000x1000
耳蜗构造与功能详解
图片尺寸1920x2530
人耳横截面.插画
图片尺寸800x800
前庭礼神经和耳蜗神经最终合并成听神经
图片尺寸1080x1440
温麦 耳螺旋器模型 显示了放大的耳蜗和柯蒂氏器切面 解剖结构
图片尺寸750x1122
认识耳蜗毛细胞和声音
图片尺寸640x413