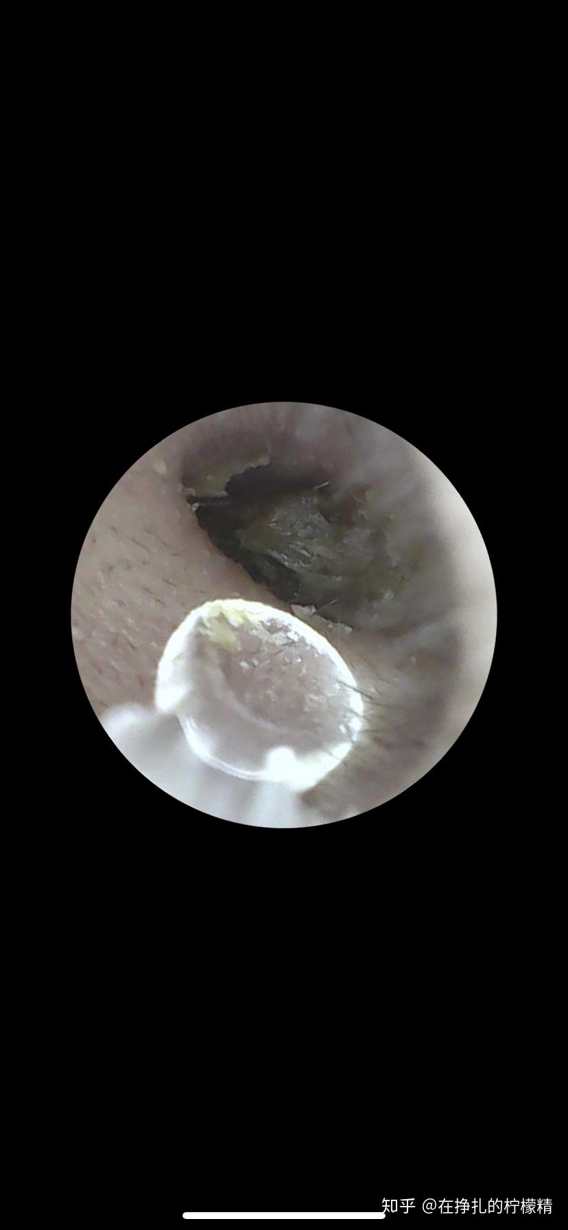
耳道内窥图

耳内窥镜下小赵的耳道情况,耳屎长得像泡芙
图片尺寸395x348
有没有人购买和使用过可视内窥掏耳勺?是一种什么样的体验? - 知乎
图片尺寸828x1792
高清可视采耳内窥镜,超细2.7mm耳内窥镜
图片尺寸800x600
内江聪茂听力助听器:耳内窥镜可以做哪些检查?耳内镜检查疼不疼?
图片尺寸1080x904
2外耳道异物:3耵聍栓塞:4急性中耳炎:5分泌性中耳
图片尺寸1080x904
2019 亚马逊新的趋势多功能医疗可视耳机,高清耳内窥镜相机镜头耳朵
图片尺寸1500x1500
耳朵疾病常见的几种耳内镜照片
图片尺寸3120x4160
耳内镜c位出道健康且美的人生从耳开启
图片尺寸459x412
9可视耳镜高清耳鼻内窥镜耳朵鼻腔窥视镜中耳炎采耳检耳镜鼻甲
图片尺寸1000x1000
在视频耳内镜下, 清晰可见外耳道有一只蟑螂趴着
图片尺寸1066x1144
内江聪茂听力助听器:耳内窥镜可以做哪些检查?耳内镜检查疼不疼?
图片尺寸1080x904
内江聪茂听力助听器:耳内窥镜可以做哪些检查?耳内镜检查疼不疼?
图片尺寸494x263
耳朵疾病常见的几种耳内镜照片
图片尺寸3120x4160
可视化采耳可视掏耳朵可视掏耳镜摆摊采耳仪采耳视镜采耳内窥镜可视掏
图片尺寸442x248
耳内镜中心科普宣教
图片尺寸1280x1024
耳朵疾病常见的几种耳内镜照片
图片尺寸3120x4160
鼓膜内陷怎么办
图片尺寸768x576
耳内窥镜能做什么
图片尺寸1080x809
耳内窥镜能做什么
图片尺寸1080x809
耳内镜实例分享1正常鼓膜:2外耳道异物:3耵聍栓塞
图片尺寸421x356