肌肉纤维化

肌纤维的类型
图片尺寸1280x961
肌肉萎缩图片_百度百科
图片尺寸285x426
肌肉的纤维的类型及训练方法
图片尺寸539x402
肌纤维类型及代谢特点
图片尺寸1152x864
22-1 肌纤维散在性萎缩,部分肌纤维间见空泡样改变(he 染色×200)
图片尺寸640x426
根据肌肉纤维的类型来锻炼
图片尺寸937x520
这么一说,大家就明白了吧?中医认为,肌纤维组织炎属于"痹症".
图片尺寸1080x483
肌肉骨骼,肾,肺,心脏和胃肠系统)受累,还伴随有纤维化和血管并发症
图片尺寸640x480
筋膜枪能缓解肌肉紧张状态,促进血液循环,预防肌肉纤维化,肌肉萎缩.
图片尺寸864x701
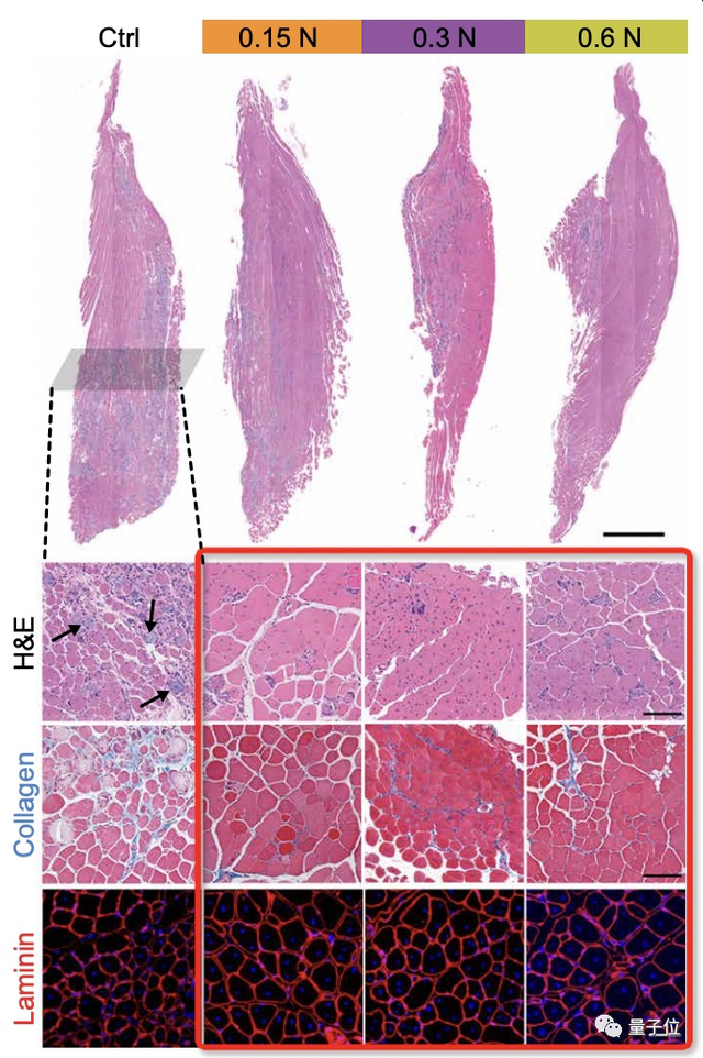
科学家们再测量了两组肌肉纤维化占比图发现,按摩后的小鼠肌肉纤维
图片尺寸640x962
对于长时间久坐,缺乏运动的人群来说,筋膜枪能够有效预防肌肉纤维化和
图片尺寸557x438
肌纤维
图片尺寸300x266
肌肉纤维图片
图片尺寸400x300
肌肉僵硬板滞,或有重压感,有时可及皮下可触及变性的肌筋膜及纤维小结
图片尺寸544x415
驼背|肌肉|泡沫轴|臀肌_网易订阅
图片尺寸500x450
久了,肌肉力量渐渐流失,肌肉萎缩,肌肉纤维化等疾病发病率大幅度提高
图片尺寸691x458
长期反复超负荷将诱发炎症过程,进而形成退变,纤维化,导致足底筋膜炎
图片尺寸1100x584
化与纤维化深感觉:深筋膜中存在本体感受器传递肌张力:当肌肉收缩时
图片尺寸1000x667
编辑切换为居中添加图片注释,不超过 140 字(可选)好处3:缓解肌肉疲劳
图片尺寸1267x735
肌肉_按摩_损伤
图片尺寸1200x784