肝癌晚期ct

【喜讯】楚雄州人民医院首例完成经介入治疗为中晚期巨块型肝癌患者
图片尺寸2667x2000
他42岁肝癌扩散说真想看到孩子上大学会有希望吗
图片尺寸1440x1041
男性,74岁,间断腹痛2月加重4天入院,急查腹部ct见肝右叶巨块型肝癌
图片尺寸3556x2000
肝愿同行丨晚期肝癌伴肺转移治疗棘手免疫靶向强强联手3周期后疗效pr
图片尺寸788x576
问题:这样的肝癌是手术切除好?还是介入治疗好?
图片尺寸2130x2568
肝癌晚期腹水合并大量胸水治验 - 好大夫在线
图片尺寸2216x1814
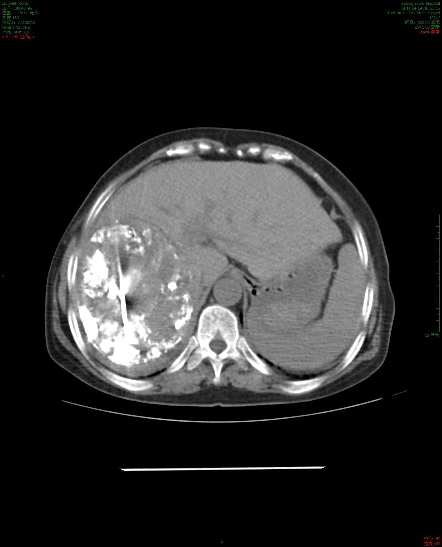
老年患者,肝癌术后6月复发,ct平扫不明显
图片尺寸2667x2000
晚期肝癌伴门脉癌栓病例解析
图片尺寸1925x1868
肝胆外科病例分享:肝中叶切术治疗巨块型肝癌1例
图片尺寸2667x2000
肝癌晚期的微创靶向治疗3(微波消融wma)
图片尺寸1480x1832
肝癌治愈案例赏析——附完全缓解的一例多发大肝癌(最近做的)
图片尺寸2200x1650
消融肿瘤40%-50%微创治疗前增强ct56岁的肝癌晚期患者,女性
图片尺寸1480x1832
晚期肝癌合并门静脉癌栓也能手术切除,不要放弃
图片尺寸2184x1456
【出血科普】急诊!肝癌破裂出血,介入精准栓塞止血,让患者转危为安
图片尺寸1080x810
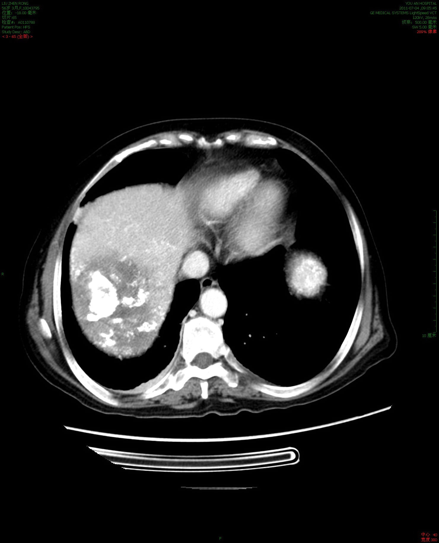
消融肿瘤40%-50%微创治疗前增强ct56岁的肝癌晚期患者,女性
图片尺寸1480x1832
肝脏疾病的ct表现
图片尺寸2707x4032
问题:这样的肝癌是手术切除好?还是介入治疗好?
图片尺寸2124x2502
肝脏疾病的ct表现
图片尺寸1080x1440
中央型肝癌(Ⅳ,Ⅴ,Ⅷ段) - 好大夫在线
图片尺寸512x512
泸州市中医医院根治晚期肝癌有全新突破
图片尺寸640x498