肝癌片子

【病例讨论】肝癌,能否手术?
图片尺寸2499x1869
(肝癌检查片子)
图片尺寸640x633
解剖性肝切除(s4-5段肝癌)-甘肃省人民医院普外二科(肝胆胰外科)
图片尺寸4000x3000
原发肝癌病例讨论
图片尺寸4128x2322
原发性肝癌的影像诊断影像天地
图片尺寸960x720
问题:这样的肝癌是手术切除好?还是介入治疗好?
图片尺寸2124x2502
原发性肝癌
图片尺寸2707x4032
肝癌治愈案例赏析——附完全缓解的一例多发大肝癌(最近做的)
图片尺寸2200x1650
近期治疗后完全缓解的一个多发肝癌患者,2018年11月病人
图片尺寸2667x2000
射频消融治疗肝癌
图片尺寸2667x2000![骨科医生的老爸患肝癌----**有经验同行意见 [病例帖]](https://i.ecywang.com/upload/1/img2.baidu.com/it/u=1790835212,3199730809&fm=253&fmt=auto&app=138&f=JPEG?w=500&h=667)
骨科医生的老爸患肝癌----**有经验同行意见 [病例帖]
图片尺寸960x1280
原发性肝癌 - 好大夫在线
图片尺寸1600x604
问题:这样的肝癌是手术切除好?还是介入治疗好?
图片尺寸2130x2568
一例巨大肝癌的手术切除
图片尺寸421x610
腹腔镜肝切除手术治疗肝癌经验分享 - 好大夫在线
图片尺寸4032x3024
氩氦刀冷冻消融治疗膈顶肝癌案例分享 - 好大夫在线
图片尺寸1682x1242
近期治疗后完全缓解的一个多发肝癌患者,2018年11月病人
图片尺寸2667x2000
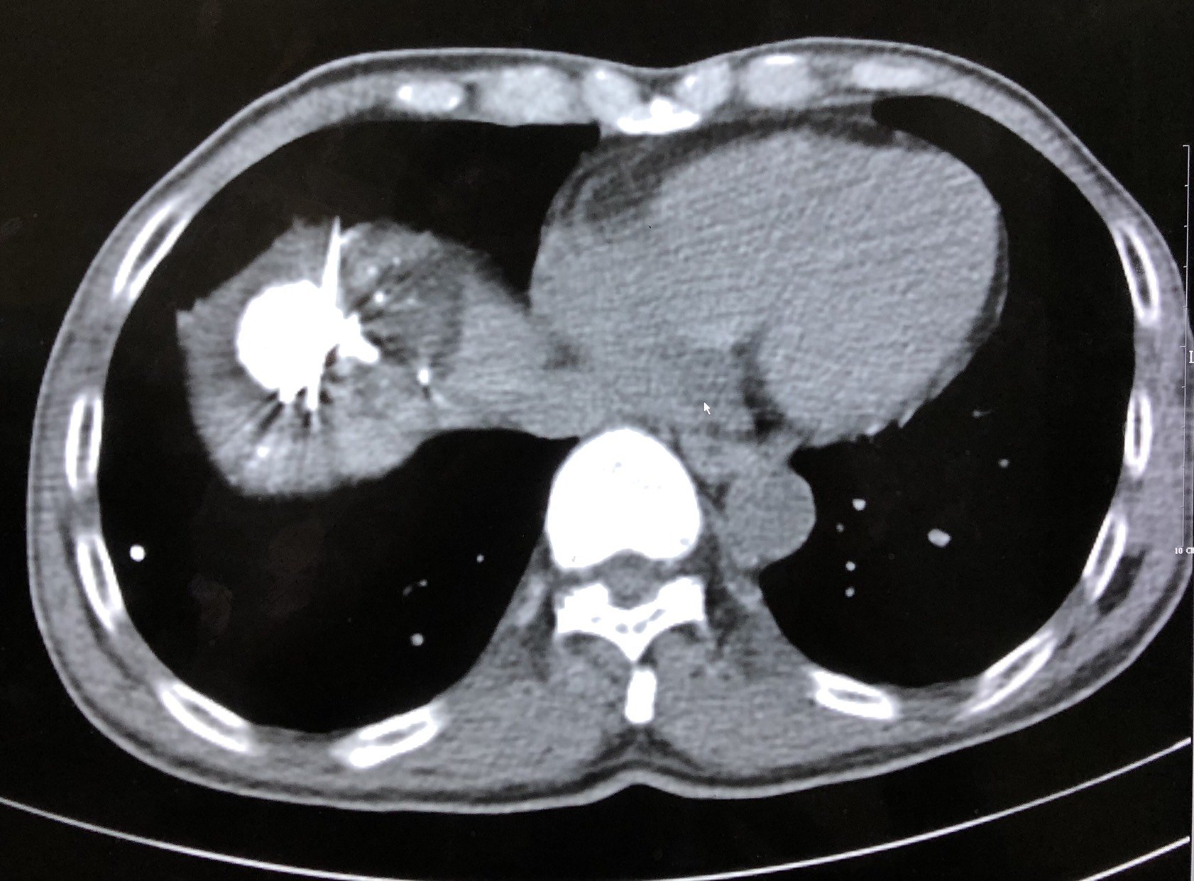
同事的ct片子,疑诊肝癌,请各位同道讨论
图片尺寸1086x1448
【病例讨论】肝癌,能否手术?
图片尺寸2475x1254
肝胆外科病例分享:肝中叶切术治疗巨块型肝癌1例
图片尺寸2667x2000