肝脏磁共振

2014年核磁共振提示左肝占位,考虑肝癌.
图片尺寸2899x2250
格艾选读丨肝脏影像检查技术ctmri
图片尺寸1080x805
肝脏典型良性肿瘤mri表现
图片尺寸2313x2042
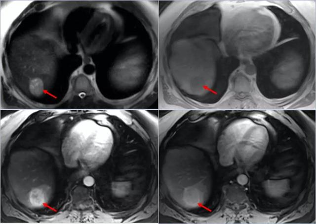
其它 肝癌术后复查,再次tace 写美篇2019年5月肝脏肿瘤mri,和前一个
图片尺寸2666x2000
肝脏病变的mr诊断
图片尺寸1080x810
肝脏常见肿瘤mri诊断与鉴别诊断
图片尺寸960x720
肝细胞肝癌磁共振表现有哪些
图片尺寸640x455
肝脏磁共振
图片尺寸640x853
影像资料显示小哲肝脏明显肿大
图片尺寸560x367![【读片】分享一例肝脏mri,听听大家的看法 [病例帖]](https://i.ecywang.com/upload/1/img0.baidu.com/it/u=2819513665,1560988427&fm=253&fmt=auto&app=138&f=JPEG?w=375&h=500)
【读片】分享一例肝脏mri,听听大家的看法 [病例帖]
图片尺寸1280x1706![一例肝左叶病变患者的ct/mri分析 [病例帖]](https://i.ecywang.com/upload/1/img0.baidu.com/it/u=925466712,3193519211&fm=253&fmt=auto&app=138&f=JPEG?w=500&h=500)
一例肝左叶病变患者的ct/mri分析 [病例帖]
图片尺寸512x512
肝脏肿瘤mri诊断
图片尺寸1080x810
术前磁共振
图片尺寸1599x1199
肝细胞肝癌磁共振表现有哪些
图片尺寸640x642![【读片】肝脏mri与ct(有病理图片和回顾性总结!) [病例帖]](https://i.ecywang.com/upload/1/img2.baidu.com/it/u=77594539,1595159113&fm=253&fmt=auto&app=138&f=JPEG?w=500&h=766)
【读片】肝脏mri与ct(有病理图片和回顾性总结!) [病例帖]
图片尺寸1500x2297
磁共振肝脏脂肪定量分析
图片尺寸640x483
大专家来了丨上海交通大学医学院附属瑞金医院专家来并出诊
图片尺寸1080x810
肝脏mri 增强(t1 )
图片尺寸633x633
39岁男子痛哭:肝恶性肿瘤晚期,身体早有"提醒",只是被他忽视
图片尺寸558x509
【读片】肝脏弥漫性病变,意见不统一(已补充磁共振增强片,请战友继续
图片尺寸6142x2449