肝脏masson染色

masson染色-肝脏肝硬化
图片尺寸1280x960
纤维化肝masson
图片尺寸2592x1728
【求助】急.小鼠肝纤维化 masson染色 可否用ipp进行半定量分析
图片尺寸2592x1944
【求助】看我染的肝脏masson怎么是这样的
图片尺寸1360x1024
【求助】狗肝脏组织病理切片he染色和masson染色不确定是否出现病变
图片尺寸4080x3072
图3 masson染色,汇管区见桥接样纤维化连接,窦周纤维化,f2.
图片尺寸900x675
论坛
图片尺寸1134x483
小鼠肝脏he, masson染色求助
图片尺寸2273x1539
一个被喝酒导致的酒精性肝硬化
图片尺寸600x450
masson染色
图片尺寸640x480
建议楼主染masson. 染masson没意义.
图片尺寸4080x3072
小鼠肝脏he, masson染色求助
图片尺寸2276x1539
masson染色,汇管区扩大,纤维增生,形成桥接样连接.
图片尺寸900x675
寻求哪位高手懂病理,帮忙分析下这两张小鼠的肝脏的he染色图片有什么
图片尺寸752x564
丹参酮_a磺酸钠注射液抗四氯化碳_省略_导的大鼠肝
图片尺寸959x1357
【讨论】肝脏he染色可以看出肝硬化和脂肪肝吗?
图片尺寸2592x1944
【讨论】肝脏he染色可以看出肝硬化和脂肪肝吗?
图片尺寸2592x1944
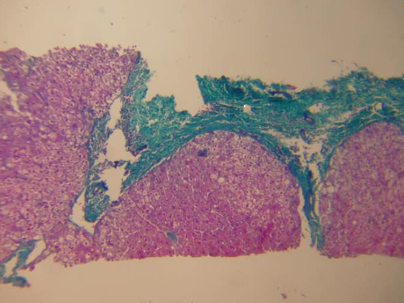
masson染色 由于肝穿标本的局限,虽然看不到整个肝小叶被纤维化
图片尺寸404x303
小白一个,做了实验得到小鼠肝脏病理切片,但是看不懂,不知道造成肝
图片尺寸1600x1200
he染色masson染色等多种特殊染色
图片尺寸1080x803