股骨干骨折

19岁股骨干骨折闭合复位髓内钉内固定手术一例
图片尺寸5315x6568
病例分享股骨干骨折
图片尺寸3384x6016
股骨干骨折
图片尺寸1440x1080
右股骨干粉碎性骨折一例
图片尺寸640x1137
股骨干骨折,感觉好难.
图片尺寸2121x3385
股骨干骨折护理与治疗课件
图片尺寸920x690
医学科普 儿童股骨干骨折,微创治疗. - 抖音
图片尺寸1440x2962
闭合复位髓内钉治疗成人股骨干骨折
图片尺寸720x1280![6岁小孩股骨干下段骨折的治疗 [病例帖]](https://i.ecywang.com/upload/1/img1.baidu.com/it/u=1648469969,182722946&fm=253&fmt=auto&app=138&f=JPEG?w=664&h=374)
6岁小孩股骨干下段骨折的治疗 [病例帖]
图片尺寸664x374
小切口治疗股骨干骨折,让意外伤无"微"不治
图片尺寸600x395
今天收的一例2周岁小孩股骨干骨折呈现牵引后照片请讨论
图片尺寸3072x2304
股骨干骨折ppt
图片尺寸1080x810
老年股骨骨折
图片尺寸3072x4096
骨骨折,三种类型的股骨骨折
图片尺寸1023x730
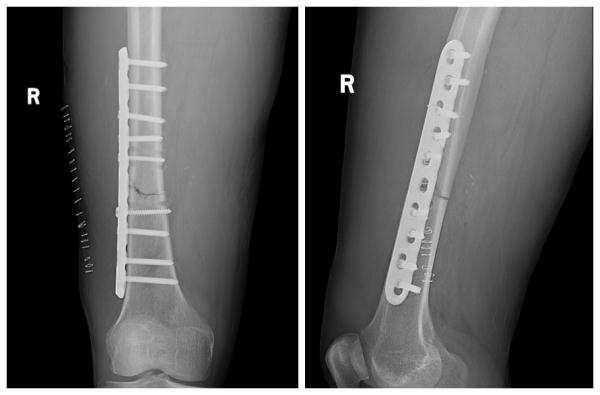
股骨干骨折钢板固定
图片尺寸2736x2736
左股骨干粉碎性骨折切开复位内固定术左股骨颈骨折切开复位空心钉内
图片尺寸640x794
教学查房股骨干骨折ppt
图片尺寸1080x810
【病例讨论】6岁儿童股骨干骨折动态观察
图片尺寸598x620
左股骨干骨折
图片尺寸960x1280
临床实用课件:股骨干骨折的分型及手术治疗
图片尺寸600x450