股骨骨囊肿

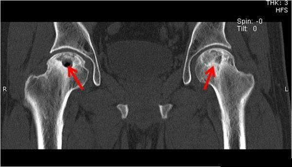
股骨近端站位骨囊肿
图片尺寸3024x2669
股骨颈骨囊肿极其严重 治疗方案 患者,女,57岁
图片尺寸4000x3000
股骨远端骨囊肿?
图片尺寸600x800
股骨近端站位骨囊肿
图片尺寸3024x2732
股骨头颈部单纯性骨囊肿手术 - 好大夫在线
图片尺寸960x720
股骨近段骨囊肿
图片尺寸640x480
髋关节骨囊肿
图片尺寸3264x2448
骨肿瘤医学科普动脉瘤样骨囊肿aneurysmalbonecyst
图片尺寸600x800
股骨近段骨囊肿
图片尺寸640x480
大家看看应该是骨囊肿吧
图片尺寸2432x3648
膝关节囊肿需手术切除吗
图片尺寸2744x3260
骨囊肿(单房性骨囊肿)为青少年期的良性肿瘤,多发于肱骨和股骨,约80%.
图片尺寸2335x2850
膝关节oa伴骨囊肿行tka手蕚5例
图片尺寸1199x1599
关节面塌陷变扁,关节间隙狭窄,髋臼出现坏死变化,囊性变,囊肿和骨刺Ⅳ
图片尺寸600x343
所有分类 医药卫生 临床医学 骨肿瘤x线病例图谱ppt 右股骨颈骨囊肿
图片尺寸1080x810
ct可见股骨头硬化,囊状.
图片尺寸2000x2667
动脉瘤样骨囊肿abc
图片尺寸640x481
来看看这个股骨肿物 - 骨科 - 专业医生社区,医学,药学,生命科学,科研
图片尺寸2592x1944
坏死股骨头的解剖分析
图片尺寸3024x4032
术后6个月骨囊肿愈合术前x线片典型病例2:女,22岁,右股骨骨囊肿刮除植
图片尺寸994x1328