肩锁关节x光

司法鉴定科学研究院对肩锁关节脱位人体损伤程度的法医临床鉴定案
图片尺寸1027x979
左肩锁关节脱位及复位后
图片尺寸2140x1760
国际蒙医院骨伤科今日成功完成一例肩锁关节脱位肩关节镜喙锁韧带重建
图片尺寸2667x2000
随州市首例肩锁关节脱位微创手术在中心医院成功实施!
图片尺寸864x670
肩锁关节脱位关节镜微创复位固定
图片尺寸1981x2454
肩锁关节脱位治疗新进展
图片尺寸1200x1600
肩锁关节脱位手术治疗及康复第一周
图片尺寸923x1921
伤肩x光片
图片尺寸1674x1200
外伤患者左锁骨骨折的肩部x光片
图片尺寸1200x800
左肩关节诸骨皮质连续,形态规整,左侧肩锁关节间隙较宽,软组织影未见
图片尺寸950x1280
右锁骨中段骨折
图片尺寸2338x1772
肩锁关节脱位rockwoodⅥ型
图片尺寸2667x2000
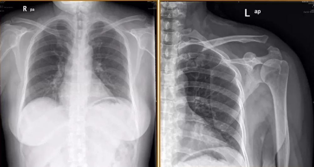
请问下图肩锁关节脱位属于几度,保守治疗会有什么后遗症?
图片尺寸800x955
快速康复治疗锁骨骨折在砥砺中前行
图片尺寸2608x1978
肩锁关节脱位的分型及治疗,值得收藏!
图片尺寸1000x532
55岁肩锁关节脱位手术一例
图片尺寸2729x3208
肩锁关节脱位的分型及治疗,值得收藏!
图片尺寸1080x520
运用mippo技术小切口微创治疗锁骨中段骨折
图片尺寸1199x1199
14岁男孩的锁骨骨折,保守10天后移位,继续保守还是手术呢?
图片尺寸2322x4128
临床带教案例-肩锁关节脱位
图片尺寸2000x2667