肱骨前倾角

夯实基础:肱骨髁上骨折之诊断篇
图片尺寸500x566
肱骨前皮质与肱骨外 髁骺轴线(肱骨小头 中心线)约成25度夹 角,另外
图片尺寸1080x810
资格考试 中医执业医师 肘关节是由肱骨下端桡骨头和尺骨鹰嘴组成的
图片尺寸187x171
参考意义:肱骨远端存在40°的前倾角,同尺骨鹰嘴的倾斜角度一起,使
图片尺寸640x247
桡骨前倾角示意图
图片尺寸414x276
肱骨头轴线与肱骨干轴线夹角135° 意义:增加了人类上肢活动范围.
图片尺寸910x625
五,肱骨远端前倾角参考意义:肩关节置换时通常术中后倾25-40
图片尺寸701x503
【强推】骨关节常用的角度测量方法汇总,一文搞定!_肱骨头
图片尺寸960x633
股骨颈前倾角的ct测量方法ppt
图片尺寸1080x810
股骨颈前倾角相关鉴别区分
图片尺寸4096x1784
脂肪垫征,双弧征,肱骨前线,这三种肘部征象你了解吗?
图片尺寸868x600
過少:後脫 位前倾角 股骨頭前傾角度(anteversion) 右髋中份横断股
图片尺寸1080x810
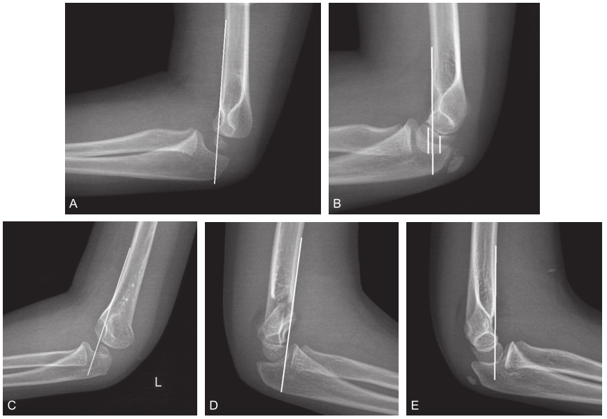
一般来说:年龄越小的儿童,ahl越靠近肱骨小头的前方(前倾角的发育机制
图片尺寸491x408
股骨干与股骨颈之间的横向夹角称为前倾角,通常情况下股骨头和股骨颈
图片尺寸983x586
对桡骨远端骨折复位后的病例,掌倾角会得到纠正,但是关节内骨折块可能
图片尺寸640x310
4.肱骨干轴线与肱骨髁轴线之间有30°-50°的前倾角
图片尺寸820x375
前倾角
图片尺寸214x117
临床必备:儿童肱骨髁上骨折,复位方法及经皮穿针技巧详解!
图片尺寸726x846
股骨颈的前倾角15°成角:当髋关节处于中立位时,从上面观,股骨头长轴
图片尺寸660x340
tha前倾角几种测量方法 - 好大夫在线
图片尺寸1032x756