肺下叶图片

mds患者发热,ct见右肺下叶类圆形软组织影,考虑何因
图片尺寸649x513
mds患者发热,ct见右肺下叶类圆形软组织影,考虑何因
图片尺寸647x493
mds患者发热,ct见右肺下叶类圆形软组织影,考虑何因
图片尺寸624x518
mds患者发热,ct见右肺下叶类圆形软组织影,考虑何因
图片尺寸651x498
图3-21女,24岁.左肺下叶结节影,内多发空洞,可见分隔带 - 抖音
图片尺寸1702x1276
mds患者发热,ct见右肺下叶类圆形软组织影,考虑何因
图片尺寸678x494
邀您来猜病原菌小儿发热咳嗽一周就诊治疗后复查双肺下叶实变支原体请
图片尺寸1029x1110
mds患者发热,ct见右肺下叶类圆形软组织影,考虑何因
图片尺寸608x474
mds患者发热,ct见右肺下叶类圆形软组织影,考虑何因
图片尺寸644x494
47岁女性左肺下叶感染,口服抗生素后变实 - 呼吸胸外 - 医学交流社区
图片尺寸471x337
mds患者发热,ct见右肺下叶类圆形软组织影,考虑何因
图片尺寸719x544
mds患者发热,ct见右肺下叶类圆形软组织影,考虑何因
图片尺寸631x499
mds患者发热,ct见右肺下叶类圆形软组织影,考虑何因
图片尺寸614x458
mds患者发热,ct见右肺下叶类圆形软组织影,考虑何因
图片尺寸719x544
左肺下叶见结节状钙化灶是什么意思?
图片尺寸830x1093
mds患者发热,ct见右肺下叶类圆形软组织影,考虑何因
图片尺寸674x507
腊月二十七特别精彩病例休检发现左肺下叶囊腔型病变有点小意外
图片尺寸812x662
腊月二十七特别精彩病例休检发现左肺下叶囊腔型病变有点小意外
图片尺寸812x662
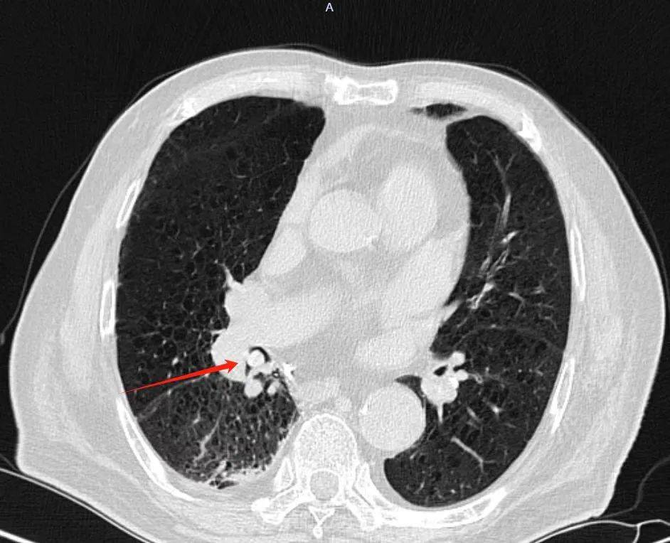
"我们根据他吃蚕豆饭的病史,判定他大概率是把豌豆误吸进了肺部.
图片尺寸942x764
无法想像肺多原发早期肺癌没有治疗的标准答案
图片尺寸899x713