肺动脉高压X线

肺动脉高压x线表现
图片尺寸690x520
肺动脉高压的诊断及鉴别诊断 胸部x线片 右下肺动 脉扩张 肺动脉段
图片尺寸1080x810
特发性肺动脉高压
图片尺寸361x305
肺动脉高压分类及影像表现
图片尺寸569x636
胸片提示:肺动脉段明显突出,肺动脉高压.
图片尺寸924x1920
肺动脉高压的影像评估
图片尺寸1080x810
x线诊断:肺动脉高压表现,考虑1.
图片尺寸2000x2666
肺动脉高压放射影像学诊断与评价影像天地
图片尺寸640x453
sign 肺淤血 ◆高流量型肺动脉高压 ◆阻塞性肺动脉高压 x线的其他
图片尺寸554x584
肺动脉高压(图)
图片尺寸1080x810
五原发性肺动脉高压
图片尺寸506x589
【共享】肺心病 肺动脉高压
图片尺寸5184x3456
肺动脉高压放射影像学诊断与评价影像天地
图片尺寸640x453
先心病伴肺动脉高压
图片尺寸1080x1920
典型肺动脉高压胸片室间隔缺损
图片尺寸1536x2048
肺动脉高压分类及影像表现
图片尺寸622x486
肺动脉常见病变的影像学表现
图片尺寸960x720
肺动脉高压放射影像学诊断与评价影像天地
图片尺寸640x453
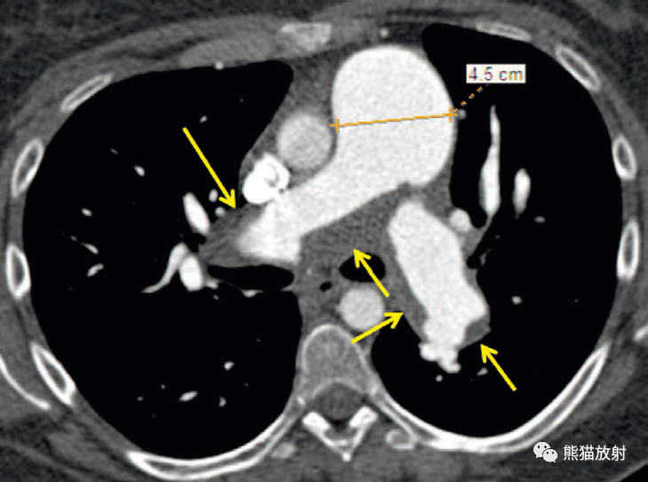
肺动脉高压分类及影像表现
图片尺寸730x543
肺动脉高压各项x线诊断指标中,哪项最常见?
图片尺寸447x675