肺大泡片子

多例典型肺大泡的dr片,与大家分享!
图片尺寸1256x1256
高品质民生多发巨大肺大泡市中心医院胸外科微创搞定
图片尺寸512x512
肺大泡影像学诊断及鉴别
图片尺寸973x373
巨大肺大泡一例 - 呼吸胸外 - 医学交流社区,分享临床经验,病例讨论
图片尺寸2295x2620
reid3型肺大泡:宽基深部肺大泡之三维重建.
图片尺寸2667x2000
多例典型肺大泡的dr片与大家分享
图片尺寸1256x1256
肺大泡是一种肺部疾#温暖冬天一起过# 病,由于肺泡壁破裂,多个肺泡
图片尺寸1558x1280
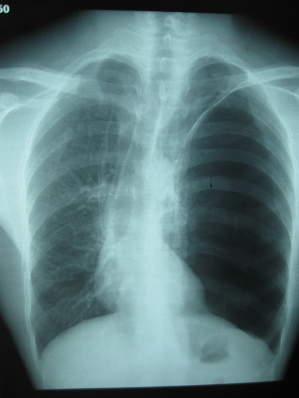
双侧多发肺大泡一例
图片尺寸680x510
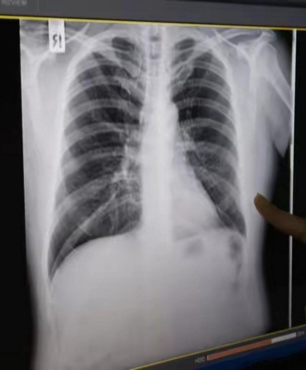
因胸闷2月余于外院行胸部ct:右肺发现巨型肺大泡
图片尺寸3656x2592
胸腔镜下治疗肺大疱并复发性气胸一例
图片尺寸1199x1199
双侧多发肺大泡一例
图片尺寸680x510
肺大泡
图片尺寸500x540
1,肺大泡 即肺大疱,属于局限性肺气肿,一般只需注意避免剧烈咳嗽远
图片尺寸1057x1280
多例典型肺大泡的dr片与大家分享
图片尺寸1256x1256
你看到的肺大泡不一定是肺大泡很有可能是这个
图片尺寸512x512
ct片示徐大叔多发肺大泡形成
图片尺寸676x476
肺大泡
图片尺寸500x334
大泡性肺气肿
图片尺寸600x800
老年,左侧巨大肺大泡,胸腔镜下左侧肺大泡切除
图片尺寸4608x3456
肺大泡影像学诊断及鉴别
图片尺寸605x433