肺干酪样坏死

干酪样坏死(肺结核)
图片尺寸640x335
(图) 儿童干酪性肺炎
图片尺寸895x733
肺中间的黄色部分就是干酪样坏死
图片尺寸312x399
结核结节 干酪样坏死 空洞
图片尺寸1080x810
咳嗽咳痰一年未看,体检发现肺已成虫蛀样空洞……熬夜,减肥可能唤醒体
图片尺寸1000x342
有的病猪肺脏有干酪样坏死灶
图片尺寸1248x712
病理学教研室 干酪样坏死
图片尺寸1080x810
求助可以诊断干酪样肺炎吗
图片尺寸4096x1840
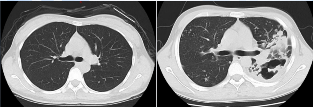
右中叶支气管干酪样坏死(涂阳 核酸阳性)
图片尺寸512x512
求助可以诊断干酪样肺炎吗
图片尺寸4096x1840
肺部干酪样结节,每天死亡100多
图片尺寸3328x1872
每天2包!抽菸40年的他肺变成这样 心脏还装了3个支架
图片尺寸358x450
可切除肺转移的治疗新辅助及辅助治疗参见结直肠癌肝转移_【吉康旅】
图片尺寸2667x2000
照片名称:肺结核(1)
图片尺寸598x694
右中叶支气管干酪样坏死(涂阳 核酸阳性)
图片尺寸512x512
其它 湘红的美篇 写美篇4,增强扫描:1)肺结核病变由于缺乏血供,强化不
图片尺寸905x361
以影识病|结节|胸膜|病灶|性疾病|肺结核|侵袭性_网易订阅
图片尺寸660x234
干酪性肺炎——丁香园
图片尺寸1721x1200
干酪性肺炎——丁香园
图片尺寸1706x1200
图1:患者左主支气管管壁均见大量白色干酪坏死物附着.
图片尺寸504x489