肺毛霉菌病

肺毛霉菌病一例
图片尺寸1024x1667
病理确诊的肺毛霉菌病五例临床分析
图片尺寸800x623
肺毛霉病的影像学表现
图片尺寸640x480
支气管哮喘合并肺毛霉菌感染1例
图片尺寸654x548
肺毛霉病的故事:嗜甜的背后暗藏杀机
图片尺寸437x337
丽水市人民医院精准肺部感染治疗案例分享
图片尺寸1600x1200
图文并茂丨一例罕见肺感染下
图片尺寸413x368
转危为安!医生巧妙诊治侵袭性肺毛霉病
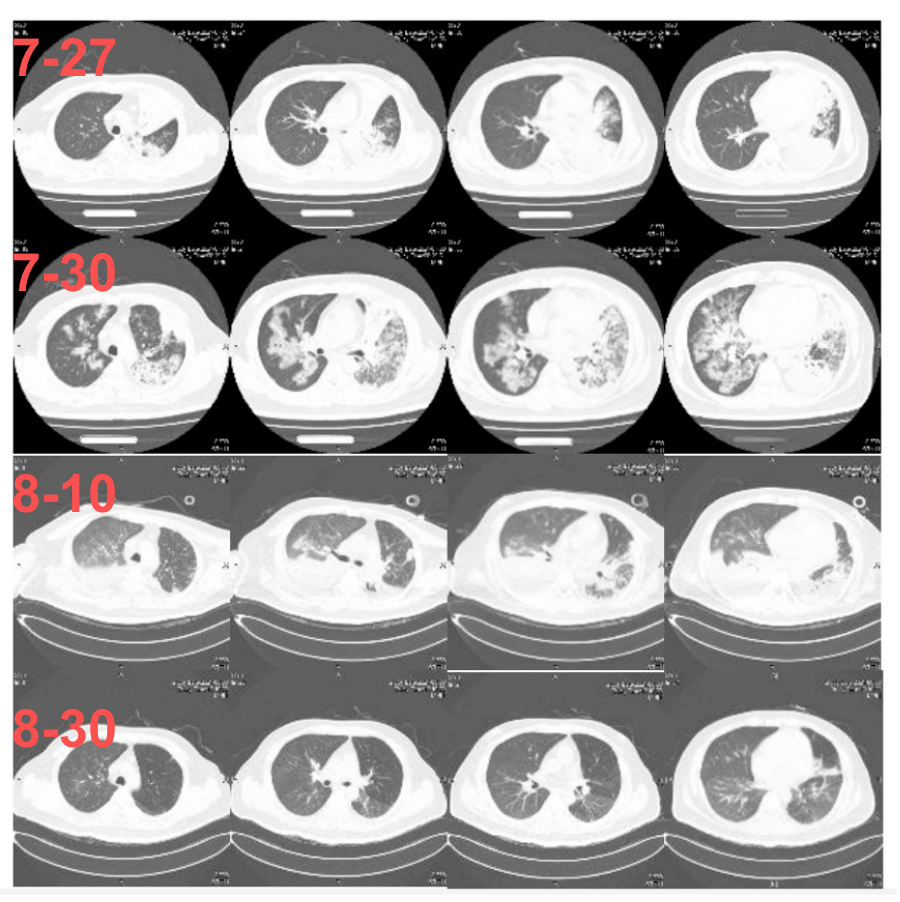
图片尺寸900x902
读片园地累及胸壁和肋骨的肺毛霉病
图片尺寸1080x583
肺炎精粹再谈肺毛霉菌病的诊疗体会
图片尺寸627x392
肺毛霉菌病的诊断和鉴别诊断
图片尺寸960x720
【读片园地】以双肺弥漫结节为表现的免疫功能正常者肺毛霉病
图片尺寸1080x693
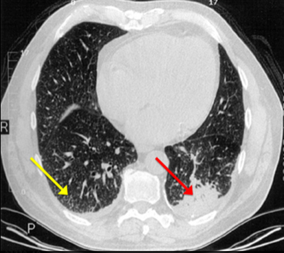
"致命霉栓"(1)---阻塞性支气管毛霉病 - 好大夫在线
图片尺寸507x592
肺毛霉菌病感染性肺炎的影像学特点唐绍宏
图片尺寸399x295
肺毛霉病的影像学表现
图片尺寸640x480
肺部感染会不会导致肺长出带毛刺的结节
图片尺寸1383x1002
【原创】肺部真菌感染
图片尺寸1010x887
肺毛霉病的影像学表现
图片尺寸640x480
肺毛霉病的故事:嗜甜的背后暗藏杀机
图片尺寸441x340
haidu_edit_325034054409777.jpg
图片尺寸832x1325