肺结节病图片

查出肺结节的人越来越多,问题出在哪?喝什么水,有利散结?
图片尺寸1166x902
肺部结节_肺部结节介绍 - 好大夫在线
图片尺寸1564x1723
查出肺结节,怎么复查?查出肺结节也不可怕,90%以上都是良性 - 抖音
图片尺寸1919x1440
肺结节#
图片尺寸690x571
多发肺结节患者为什么越来越多?
图片尺寸567x593
这2种肺结节,极易发展成肺癌!
图片尺寸625x357
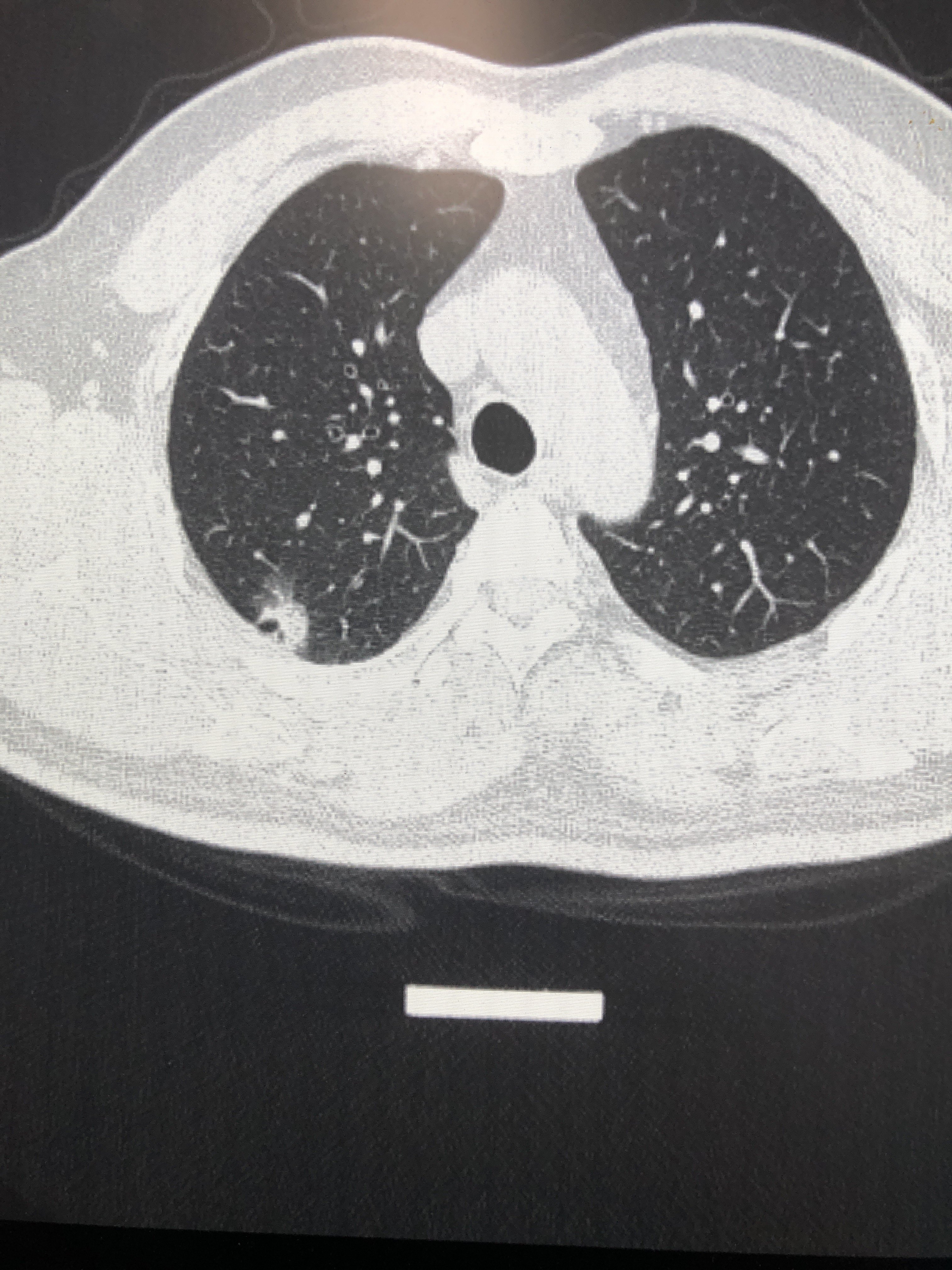
肺结节的真实世界7
图片尺寸3024x4032
肺结节通常是无症状的,但如果结节较大或增大,可能会出现咳嗽,气短和
图片尺寸1789x1280
肺部结节,患者该如何面对?
图片尺寸500x333
肺结节的真实世界6
图片尺寸3024x4032
肺结节随访的目的到底是什么?可别"睡"过了头!
图片尺寸940x782
查出肺结节,哪3种需要动手术?医生用ct片举例说明
图片尺寸640x343
这2种肺结节,极易发展成肺癌!
图片尺寸632x287
体内有肺结节的人,尽量少吃3种"发物",忍住不吃或有助散结
图片尺寸750x500
双肺多发磨玻璃结节可以同期一起切除吗?
图片尺寸1440x1080
肺部结节图片2.jpg
图片尺寸230x326
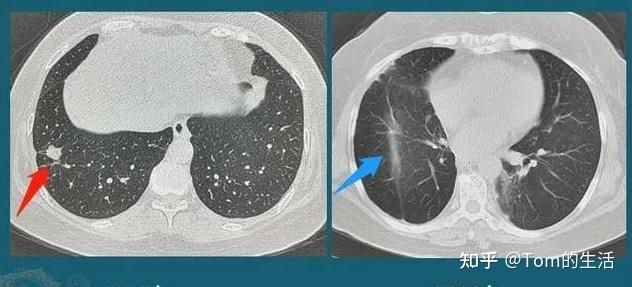
谢谢网友提供的图像资料,让我们看看这一例恶性肺结节有哪些征象?
图片尺寸640x368
患有"肺结节"的人,生活中尽量远离3物,为了健康,早了解|癌变|戒烟
图片尺寸588x753
一碗水两味药,八毫米的肺结节一波冲走,这是怎么做到的?
图片尺寸2268x1280
影像剖析:肺结节良恶性辨别典型病例分享_医学界-助力医生临床决策和
图片尺寸1080x1080