肺结节病影像

回顾上海女子查ct发现肺结节,复查结节几乎消失,或因她常做3件事
图片尺寸640x566
肺结节是指直径小于3cm的肺部影像学表现为圆形或椭圆形的病灶.
图片尺寸1789x1280
问诊分析:年仅15岁,肺结节(考虑早期肺癌)已经20个月!
图片尺寸1080x1271
50岁女性体检发现肺结节!深夜发帖,请各位影像大佬解答下疑惑?
图片尺寸1440x1409
影像大医生#医学影像 #ct #肺结节 - 抖音
图片尺寸1434x1074
女子查ct发现肺结节,复查时结节几乎消失,或因她平时常做4件事
图片尺寸601x509
双肺弥漫粟粒状结节影请各位大神分析
图片尺寸4032x3024
肺结节ct读片:胶片,厚层图像,薄层图像哪个最佳?
图片尺寸1860x1944
影响肺结节治疗方法选择的因素,你都知道有哪些吗?
图片尺寸1624x1280
肺结节是指直径小于3cm的肺部影像学表现为圆形或椭圆形的病灶.
图片尺寸2276x1280
50岁女性体检发现肺结节!深夜发帖,请各位影像大佬解答下疑惑?
图片尺寸1289x1406
在检测肺部结节时,高分辨率计算机断层扫描是目前最清晰,最敏感的影像
图片尺寸1829x1280
双肺弥漫粟粒状结节影请各位大神分析
图片尺寸4032x3024
病例分享|肺结节的罕见原因:注意病史,别忽视这个重要信息
图片尺寸775x800
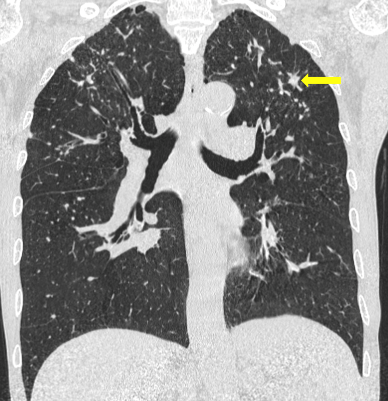
随访5月进展的肺实性结节,但又倾向良性点,是否该手术临床的决策过程
图片尺寸1080x1303
影像科同道问诊反馈:两肺多发结节,形态密度各异,要不要手术?
图片尺寸912x632
肺结节 湖南湘雅 分享良性 的中的一种肺内淋巴结 ,一旦影像科医生有
图片尺寸1280x1706
左肺上叶尖后段浅表结节的楔形切除,术中差点漏掉(病例回顾)
图片尺寸3024x4032
发现肺部结节该如何随访?平时怎样注意
图片尺寸1080x2504
肺结节影像表现77对应病理结果(35)
图片尺寸1707x1280