肺肿瘤 晚期

肺腺癌晚期肿瘤图片
图片尺寸666x500
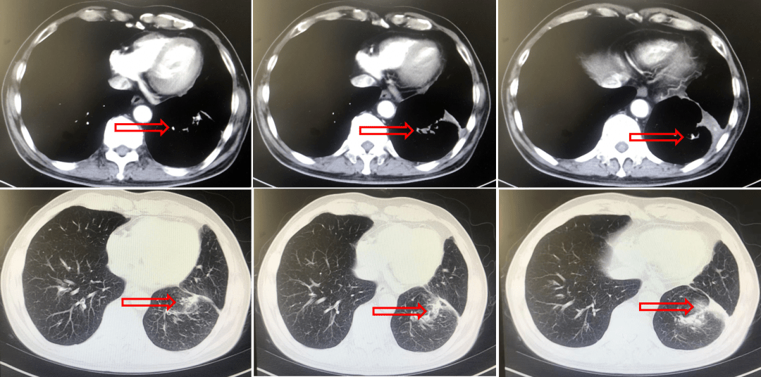
肺癌病例73岁晚期肺腺癌生存期接近4年
图片尺寸954x632
静安医院肿瘤介入科|综合治疗可有效延长晚期肺癌患者生存期|安徽静安
图片尺寸597x395
因声音嘶哑就诊发现肺腺癌晚期
图片尺寸1000x737
刘懿博士说肺癌(二〇七二)75岁晚期肺癌,肿瘤能控制的住么?
图片尺寸2748x3664
晚期不可切除非小细胞肺癌病例分享一例腺癌
图片尺寸1440x1080
肺癌病例73岁晚期肺腺癌生存期接近4年
图片尺寸980x620
肺癌晚期肿瘤患者的「新希望」
图片尺寸1080x810
百例之约|替雷利珠单抗联合治疗伴晚期肺腺癌患者度过"凛冬"_恶性肿瘤
图片尺寸760x323
肺肿瘤
图片尺寸965x724
肺癌|胃肠镜|肠癌|肿瘤_网易订阅
图片尺寸656x913
多发的肺肿瘤,是不是就是晚期肺癌?
图片尺寸3840x2160
11岁男孩左肺离奇"消失",医生惋惜:是罕见恶性肿瘤,晚期
图片尺寸640x428
肺癌病例73岁晚期肺腺癌生存期接近4年
图片尺寸1008x703
3疗程新辅助治疗后肿瘤明显缩小替雷利珠单抗联合化疗使局部晚期肺
图片尺寸949x390
伴脑转移晚期肺癌患者迎来治疗新转机_肿瘤
图片尺寸1080x536
原创颈部恶性肿瘤晚期肺转移
图片尺寸1600x1200
一线化疗失败的met14号外显子跳跃突变晚期肺腺癌赛沃替尼带来肿瘤
图片尺寸773x1000
晚期肺癌,化疗不耐受转战d t双靶治疗,"敏感"体质患者获益匪浅|肿瘤
图片尺寸660x692
肺腺癌晚期
图片尺寸900x1200