肺腺癌病理

活检病理提示肺癌,手术切下来却是良性肿瘤,亏大了吗?
图片尺寸1866x1280
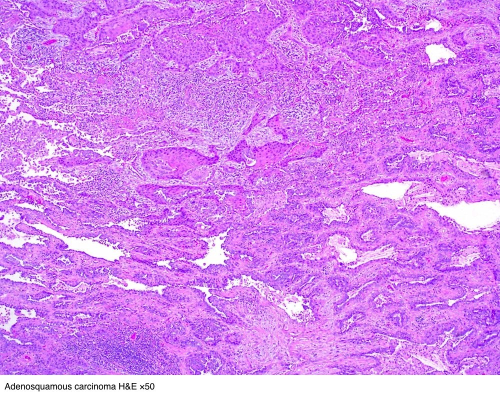
世界卫生组织who定肺腺鳞癌定义为由腺癌和鳞癌组成,且腺癌和鳞癌的组
图片尺寸1000x810
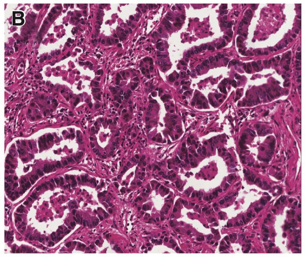
到浸润性腺癌(iac)是一个自然发展过程,各个阶段的病理改变各不相同
图片尺寸1525x1316
肺癌术后病理提示有微乳头成分,预后更不好?
图片尺寸1027x862
肺ggo 浸润性腺癌?讨论病例【胸部等器官疾病诊断论坛病例122】
图片尺寸3456x4608
原发型肺癌通过组织病理学可以分为两…显示全部
图片尺寸1995x1259
早期肺腺癌病理诊断若干问题
图片尺寸589x489
83岁肺癌,胸腔镜治愈出院 - 好大夫在线
图片尺寸3024x4032
浸润性肺腺癌导管内原位癌脉管内癌栓
图片尺寸1080x810
肺ggo 浸润性腺癌?讨论病例【胸部等器官疾病诊断论坛病例122】
图片尺寸3456x4608
肺癌的组织病理学
图片尺寸1200x800
肺浸润性腺癌讨论病例【胸部等器官疾病诊断论坛病例166】
图片尺寸3120x4160
磨玻璃结节早期肺腺癌病理诊断中的问题与探讨 - 好大夫在线
图片尺寸400x320
右肺下叶占位粘液腺癌讨论病例胸部等器官病例讨论180
图片尺寸3241x3024
肺浸润性腺癌讨论病例【胸部等器官疾病诊断论坛病例166】
图片尺寸3120x4160
早期肺腺癌病理诊断若干问题
图片尺寸640x539
【衡道丨干货】「肺腺癌」的诊断体系2 — 微浸润性肺腺癌|腺癌|浸润
图片尺寸1080x650
衡道丨干货肺腺癌的诊断体系浸润性肺腺癌
图片尺寸1080x647
早期肺腺癌的不同病理分型-矛盾与挑战
图片尺寸1080x469
肺癌的主要病理类型及典型ct表现
图片尺寸1271x819