肾包膜下血肿

【病例】肾挫裂伤伴包膜下血肿1例ct影像表现
图片尺寸456x375
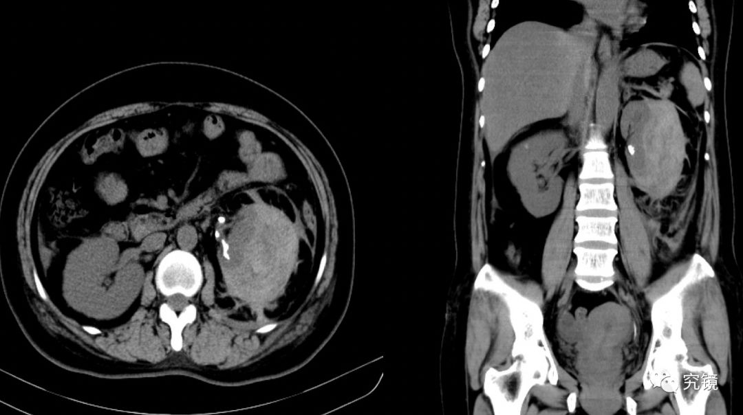
左肾包膜下血肿
图片尺寸1552x2592
无血尿,入院查ct提示:黄箭头所指为右肾包膜下高密度影,考虑血肿;绿
图片尺寸4608x3456
左肾包膜下血肿
图片尺寸2592x1552
无血尿,入院查ct提示:黄箭头所指为右肾包膜下高密度影,考虑血肿;绿
图片尺寸4608x3456
肾包膜下血肿(i级肾损伤)
图片尺寸1080x810
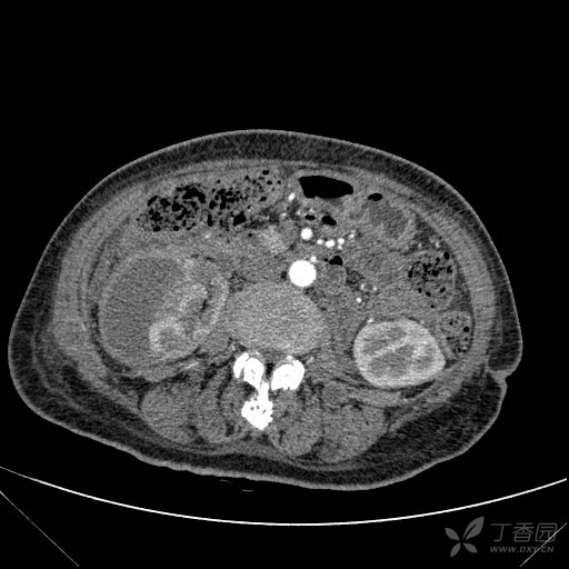
自发性双肾包膜下血肿求原因
图片尺寸2592x1952
自发性双肾包膜下血肿,求原因
图片尺寸598x450
腹部实质性脏器外伤的ct表现_血肿
图片尺寸1080x810
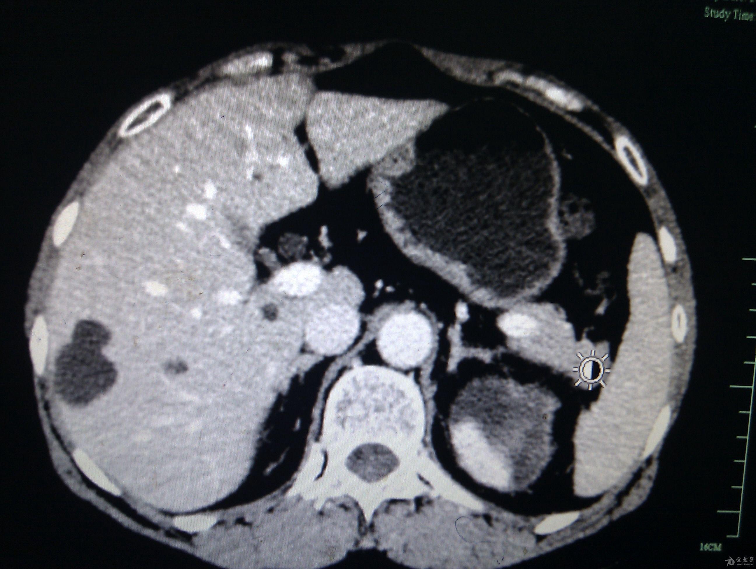
肾包膜下血肿?脓肿?其他?
图片尺寸512x512
肾包膜下血肿?脓肿?其他?
图片尺寸512x512
136号作品:输尿管镜钬激光碎石术后肾包膜血肿原因探讨_手术
图片尺寸1080x604
腹部实质性脏器外伤的ct表现_血肿
图片尺寸1080x810
无血尿,入院查ct提示:黄箭头所指为右肾包膜下高密度影,考虑血肿;绿
图片尺寸4608x3456
例16肾内血肿
图片尺寸956x640
【共享】左肾活检后,包膜下巨大血肿!
图片尺寸759x562
腹膜后血肿的介绍
图片尺寸450x217
无血尿,入院查ct提示:黄箭头所指为右肾包膜下高密度影,考虑血肿;绿
图片尺寸4608x3456
腹部实质性脏器外伤的ct表现_血肿
图片尺寸1080x810
皮下血肿,皮下血肿的原因,皮下血肿怎么办-外科-普外科-症状查询-寻医
图片尺寸300x220