肾旁前间隙

以肾筋膜分区 肾(旁)前间隙 肾周间隙 肾(旁)后间隙
图片尺寸1080x810
肾的位置: 肾位于脊柱两侧,腹膜后间隙内,属腹膜 外位器官.
图片尺寸1080x810
腹膜后间隙的划分请务必牢记
图片尺寸660x426
活检-陈克敏以肾筋膜分区 腹膜后腔以肾筋膜为中心分为 肾旁前间隙
图片尺寸1080x810
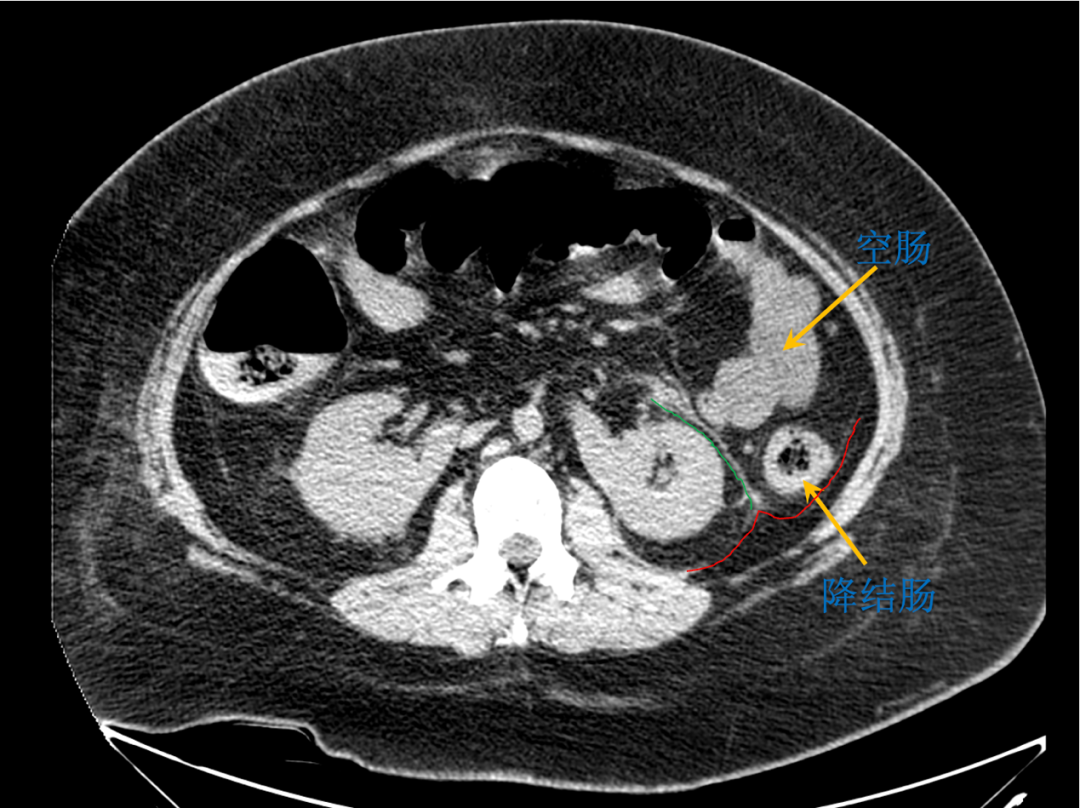
肾旁前间隙:是位于后腹膜与肾前筋膜,侧锥筋膜之间的区域;间隙内包括
图片尺寸647x375
③肾旁后间隙:是位于肾后筋膜与覆盖腰大肌和腰方肌前面的髂腰筋膜
图片尺寸1080x607
raus专栏|肾周间隙的层面与毗邻02
图片尺寸1080x808
从肾的被膜理解掌握腹膜后间隙的解剖
图片尺寸727x450
跟着ct/mri学超声:小视频——腹膜后间隙与肾周筋膜
图片尺寸1024x682
肾旁后间隙:是位于肾后筋膜,侧锥筋膜与腹横筋膜之间的区域,内部为
图片尺寸508x349
人体解剖学/肾脏
图片尺寸455x307
3,肾后间隙:交感神经干,乳糜池,淋巴结以及脂肪组织.
图片尺寸588x381
第2节 血液循环 第2课时ppt
图片尺寸1080x810
1 内 侧 缘 形态 蚕豆状,两端两面两缘 肾门 肾蒂 肾盂 肾窦 肾动脉
图片尺寸1080x810
腹膜后间隙的划分请务必牢记
图片尺寸800x561
肾的被膜: ①纤维膜fibrous capsule :固有膜,薄而坚韧.
图片尺寸387x289
临床医学 腹膜后间隙影像解剖ppt 腹膜后间隙ct解剖 肾旁后间隙 第二
图片尺寸1080x810
腰方肌重要的显像特点和解剖位置关系是:腰方肌相对于前侧的腰大肌常
图片尺寸614x575
7 个病例学定位,拿下这些腹膜后肿瘤的影像诊断_间隙
图片尺寸1019x426
肾后筋膜(zuekerkandles筋膜)为分界线,将腹膜后间隙分为肾旁前间隙
图片尺寸480x628