肾ct片子解析图

ct 秒杀:肾脏病变快速鉴别_课程_影像_腹膜
图片尺寸584x428
医院拍ct说我左肾下盏结石0.6cm,是不是那个白色的点点就是结石啊?
图片尺寸1290x2796
肾结石的硬度已经颠覆了医生的认知,肾结石的ct值了解一下
图片尺寸4156x3117
肾肿瘤的ctppt课件
图片尺寸920x690
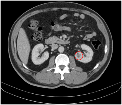
图一:肾脏增强ct提示左肾肿瘤,红色标记处即为肾肿瘤
图片尺寸431x371
因为这袋"石头",男子差点失去一个肾!夏季发病率超5倍!
图片尺寸1080x540
影像双肾ct扫描范围(超详细) 双肾扫描范围都是从肾上极扫描到肾下极.
图片尺寸930x1024
文章配图ct片中红圈内阴影表示李先生左肾重度积水)
图片尺寸898x673
肾上腺ct影像学诊断流程及技巧
图片尺寸1920x1080
ct图像# - 知乎
图片尺寸1032x1259
肾盂肾炎的影像表现
图片尺寸960x720
典型异位肾患者ct一例!
图片尺寸1072x1280
肾脏增强ct提示左肾错构瘤,红色标记处为错构瘤
图片尺寸550x269
肾结石的硬度已经颠覆了医生的认知,肾结石的ct值了解一下
图片尺寸4156x3117
图一,二:受伤当天的ct图三:转院后的诊断证明图四:术后两天的复查结果
图片尺寸1080x1439
【省立影像读片】肾脏及肾周病变24.05
图片尺寸1080x608
丁香园论坛>肾脏泌尿>帖子详情>ct增强静脉期ct增强延迟期ct增强冠状
图片尺寸591x492
医学影像 #ct片子图片 #放射科 #眼眶 - 抖音
图片尺寸1440x1898
【求助】一个肾脏平扫
图片尺寸1336x2074
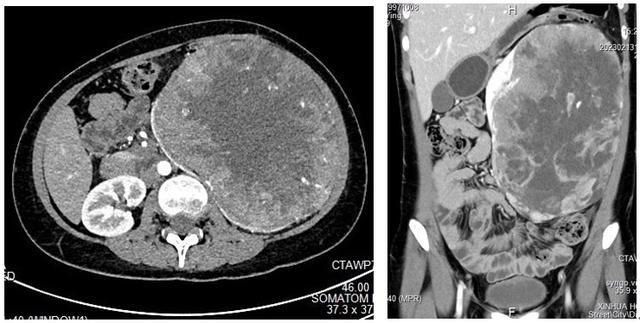
左图:左肾巨大肿瘤 (ct增强横截面)
图片尺寸640x323