胃上皮图片

衡道丨干货病理基础胃高级别上皮内瘤变癌变
图片尺寸633x632
胃的六层,复层扁平上皮,变移上皮,单层柱状上皮,假复层纤毛状柱上皮
图片尺寸1987x1787
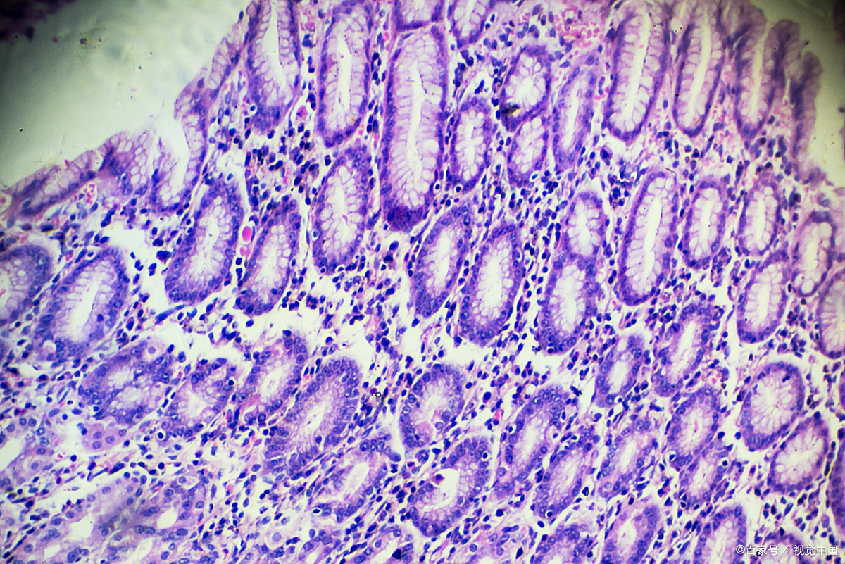
首先,肠上皮化生是一种病理变化,简单来说就是胃黏膜上皮细胞被类似
图片尺寸1200x801
首先,肠上皮化生是一种病理变化,简单来说就是胃黏膜上皮细胞被类似
图片尺寸2048x1638
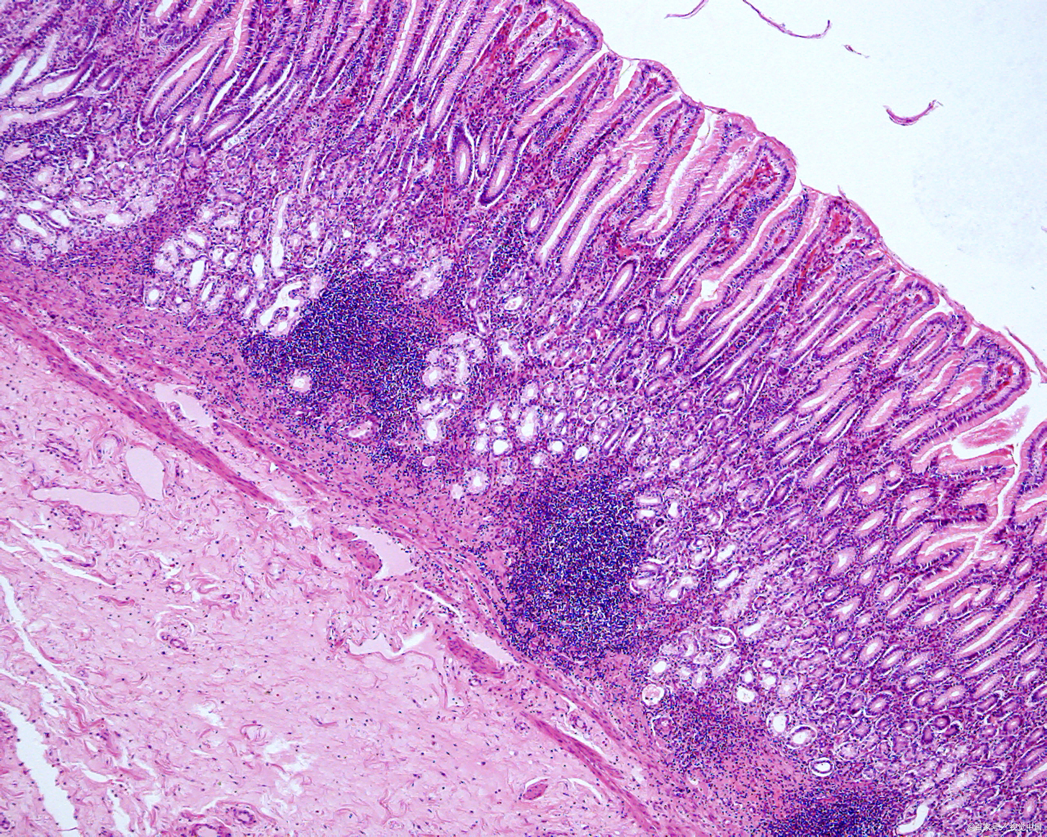
胃底部的切片观察
图片尺寸1920x1296
医学美图胃十二指肠上皮性粘膜内病变病理解读
图片尺寸821x425
这一查,竟发现了胃早癌.幸运的是,病症尚在早期,完全治愈可期
图片尺寸1078x940
黏膜:表面形成胃小凹1.上皮:由表面黏液细胞构成,单层柱状.2
图片尺寸1080x1108
京都胃炎分类肠上皮化生
图片尺寸905x781
胃的六层,复层扁平上皮,变移上皮,单层柱状上皮,假复层纤毛状柱上皮
图片尺寸1800x1943
上皮组织:结构与功能详解
图片尺寸1280x930
胃黏膜肠化萎缩性胃炎低级别上皮内瘤变看这篇就够了
图片尺寸1080x1080
人胃黏膜上皮细胞
图片尺寸810x810
胃粘膜病变你知道的有哪些
图片尺寸595x491
医学美图:探索胃的组织解剖与内镜图像特征
图片尺寸769x634
胃黏膜太薄
图片尺寸1027x768
衡道丨干货病理基础胃高级别上皮内瘤变癌变
图片尺寸633x633
胃体多发粘膜病变
图片尺寸4624x3472
京都胃炎分类肠上皮化生
图片尺寸907x783
第二十六期:透射电镜下的肠上皮
图片尺寸960x720