胃粘膜萎缩

萎缩性胃炎:搞清十个问题——黑龙江省医院南岗院区消化病院门诊部第
图片尺寸450x300
当胃黏膜上皮遭受反复损害时,就会导致其固有腺体萎缩,减少,部分患者
图片尺寸1080x483
萎缩性胃炎图集
图片尺寸577x503
萎缩性胃炎病因危险因素症状及诊断
图片尺寸640x504
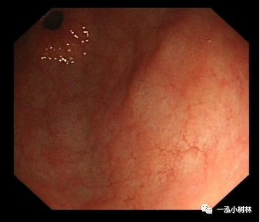
树枝状血管显露,黏膜苍白及萎缩边界更明显,多以幽门胃窦部为中心
图片尺寸363x318
萎缩性胃炎图集
图片尺寸606x539
胃镜室消化科普:萎缩性胃炎真的很可怕吗?
图片尺寸1440x1080
慢性萎缩性胃炎是怎么回事?会不会发生癌变?该注意些什么?
图片尺寸500x349
为什么内镜下表现为萎缩性胃炎病理报告为浅表性炎
图片尺寸1253x1079
萎缩性胃炎图集
图片尺寸606x539
萎缩性胃炎图集
图片尺寸606x539
胃黏膜萎缩与多种因素相关,临床尚无定论,目前关于hp感染与氧自由基
图片尺寸570x245
萎缩性胃炎图集
图片尺寸361x293
胃因何而萎缩
图片尺寸976x606
萎缩性胃炎图集
图片尺寸363x315
慢性萎缩性胃炎,中医1方,益气健脾,消食和胃,修复胃黏膜损伤
图片尺寸640x480
萎缩性胃炎.png
图片尺寸882x353
胃镜微观辨证,结合中医药,辨证治疗萎缩性胃炎_黏膜
图片尺寸492x343
危险评估. 危险评估:高龄患者;发热;萎缩性胃炎伴肠化. esd术中诊断
图片尺寸640x563
萎缩性胃炎图集
图片尺寸371x317