胡桃夹现象

女子腰痛误诊腰椎间盘突出,直到出现血尿,医生:胡桃夹现象
图片尺寸1108x936
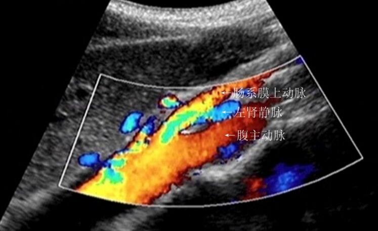
左肾静脉经腹主动脉后方汇入较低位置的下腔静脉附:后胡桃夹现象儿童
图片尺寸565x507
浅谈肾内科常见病之胡桃夹综合征
图片尺寸500x677
年轻血尿患者不可忽视的病因之一-----胡桃夹综合症
图片尺寸876x613
今日诊断一例【胡桃夹综合征】#超声影像 腹主动脉之间夹角变 - 抖音
图片尺寸1440x2558
血尿原因之胡桃夹综合征
图片尺寸1242x2019
胡桃夹现象
图片尺寸640x432
胡桃夹综合征ppt课件
图片尺寸920x690
综合征ppt 概念 胡桃夹综合征又称 左肾静脉压迫综合 症或胡桃夹现象
图片尺寸1080x810
胡桃夹综合征nutcrackersyndrome
图片尺寸1080x810
胡桃夹现象ppt
图片尺寸1080x810
胡桃夹综合征讲座ppt
图片尺寸1080x810
胡桃夹综合征ppt
图片尺寸1080x810
p>胡桃夹现象(nutcracker phenomenon)亦称左肾静脉压迫综合征,好发
图片尺寸747x457
胡桃夹综合征#肾脏病 #浙一医院 #修行者 #浙江大学附属 - 抖音
图片尺寸924x1920
医药卫生 胡桃夹综合征ppt 胡桃夹综合征 胡桃夹症:应称胡桃夹现象
图片尺寸1080x810
胡桃夹综合征ppt
图片尺寸800x600
征(nutcracker syndrome,ncs),即左肾静脉压迫综合征,又称胡桃夹现象
图片尺寸640x216![【读片】胡桃夹综合症的ct表现 [病例帖]](https://i.ecywang.com/upload/1/img1.baidu.com/it/u=2622614025,121949227&fm=253&fmt=auto&app=138&f=JPEG?w=667&h=500)
【读片】胡桃夹综合症的ct表现 [病例帖]
图片尺寸960x720
胡桃夹综合征ppt
图片尺寸1080x810