胶质瘤ct

胶质瘤在ct上,往往表现为脑内,低信号的病变;低级别胶质瘤一般无瘤周
图片尺寸301x367
大家帮看看胶质瘤
图片尺寸2304x3072
左额叶占位,胶质瘤可能
图片尺寸2592x1944
分享一例左侧颞叶星形胶质瘤的核磁影像
图片尺寸1280x676
去当地医院就诊,行头颅ct检查示:右侧额叶恶性肿瘤,转移瘤或胶质瘤
图片尺寸570x756
mri:考虑胶质瘤,不除外转移瘤.
图片尺寸4032x3024
胶质瘤三级沿脑沟全切
图片尺寸2667x2000
胶质瘤 - 好大夫在线
图片尺寸4032x3024
european radiology:哪些影像学特征可实现胶质瘤的病理分级?
图片尺寸623x534
胶质瘤手术
图片尺寸1020x818
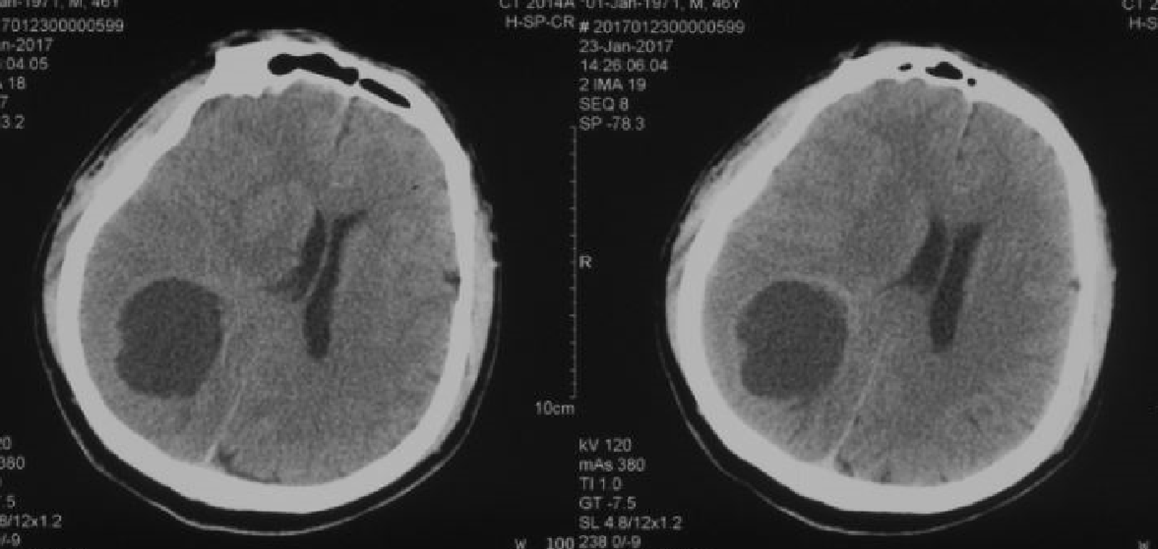
术前头颅ct术前mri术后头颅ct术后病理报告证实为脑胶质瘤.
图片尺寸1158x549
神刀博览| 河北医大二院吕中强:额叶胶质瘤"定边界切除技术"手术视频
图片尺寸900x1073
晋中二院神经外科成功实施巨大胶质瘤切除术
图片尺寸1440x1080
脑胶质瘤病影像诊断
图片尺寸1080x607
img
图片尺寸800x614
胶质瘤or转移瘤?
图片尺寸2048x1536
近期赤峰学院附属医院红山院区神经外科收治节细胞胶质瘤患儿1例病例
图片尺寸3024x4032
颞叶内侧恶性胶质瘤
图片尺寸3648x2736
晋中二院神经外科成功实施巨大胶质瘤切除术
图片尺寸1152x2048
节细胞胶质瘤(gg3)
图片尺寸1246x908