胸腺瘤恶性

化生型胸腺瘤.jpg
图片尺寸4000x3000
胸腺癌在组织学行为上表现出明显不同于胸腺瘤的恶性行为
图片尺寸1022x375
胸腺瘤的良恶性判断和分期 - 好大夫在线
图片尺寸1416x1080
异位:右后上纵隔巨大胸腺瘤一例
图片尺寸640x640
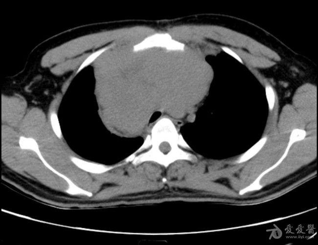
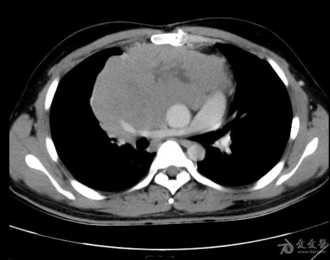
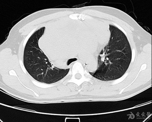
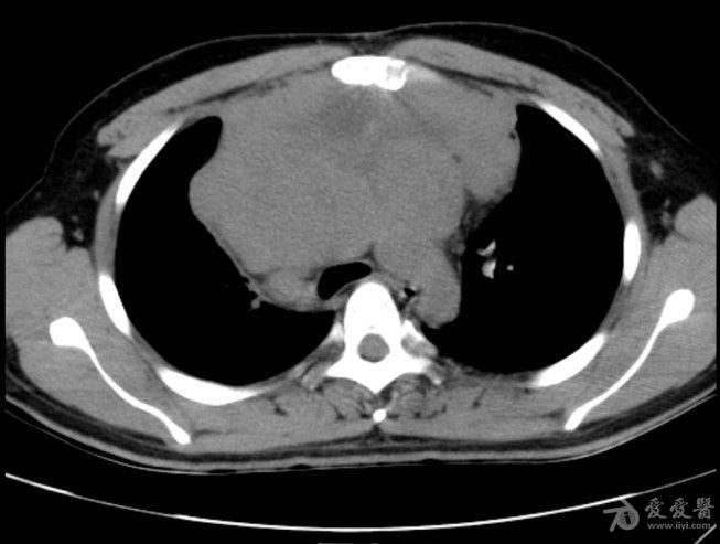
病例19恶性胸腺瘤
图片尺寸655x511
增强后呈厚壁环形强化,大小约60×38mm,胸腺来源低度恶性肿瘤可能.
图片尺寸3968x2976
胸腔镜胸腺瘤切除术病例
图片尺寸800x600
胸腺瘤,纵膈肿瘤,纵膈囊肿的微创治疗 - 好大夫在线
图片尺寸1147x792
胸腺瘤
图片尺寸309x512
病例19恶性胸腺瘤
图片尺寸666x525
病例19恶性胸腺瘤
图片尺寸651x453
病例19恶性胸腺瘤
图片尺寸657x507
要强调的是,胸腺瘤绝大多数是恶性肿瘤,所以一旦发现要尽早手术,不要
图片尺寸615x461
胸腺肿物
图片尺寸1356x1351
病例19恶性胸腺瘤
图片尺寸653x493
患者男,58岁,因"颜面水肿"于2011年9月至中山大学肿瘤防治中心就诊.
图片尺寸680x414
病例19恶性胸腺瘤
图片尺寸650x500
病例19恶性胸腺瘤
图片尺寸643x515
前纵隔巨大胸腺瘤切除 右侧中上肺切除术 胸膜多发结节切除术
图片尺寸2000x2667
病例19恶性胸腺瘤
图片尺寸656x504