胸膜增厚ct表现

影像知识科普:胸膜增厚,钙化在ct上什么表现?专科医生讲解
图片尺寸1024x576
图2:胸部ct显示左侧胸膜增厚钙化.
图片尺寸515x449
图2:胸部增强ct显示左侧胸腔积液及胸膜增厚
图片尺寸1014x1016
一眼洞穿系列之你会观察ct胸膜增厚钙化吗
图片尺寸1151x1150
7个常见词,教你看肺ct报告.王老师小课堂开课,今天教大家看 - 抖音
图片尺寸1224x1630
胸膜肥厚钙化
图片尺寸2667x2000
胸膜增厚伴胸膜下致密实变,牵拉
图片尺寸1279x959
ct右肺胸膜发现了什么?
图片尺寸3635x2093
胸膜肥厚钙化
图片尺寸2667x2000
ct右肺胸膜发现了什么?
图片尺寸4019x2372
刘懿博士说肺癌三〇三〇双侧胸膜结节样增厚觉得是胸膜斑可能性大
图片尺寸1600x1289
ct右肺胸膜发现了什么?
图片尺寸3880x2130
从胸膜增厚看, 发热5日的病程靠不住,应当还长一些.
图片尺寸640x480
胸膜极度肥厚请会诊!
图片尺寸525x394
ct检查(2021年6月8日,外院):右肺术后改变,两肺多发结节,两侧胸膜增厚
图片尺寸1080x494
也可以见于胸膜转移瘤,这是比较严重的一种情况了,除了胸膜增厚,胸腔
图片尺寸844x589
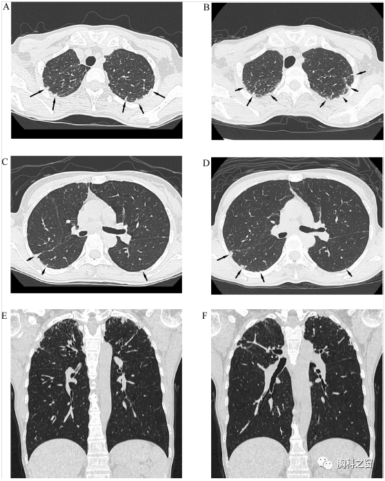
日常实践中ct上的胸膜肺实质弹力纤维增生症ppfe样表现患病率和系列
图片尺寸558x697
请教:着片子是胸膜增厚还是胸膜瘤啊?
图片尺寸992x744![当胸部ct发现有主动脉增宽,你会怎么处理? [病例帖]](https://i.ecywang.com/upload/1/img1.baidu.com/it/u=3670847151,4182594509&fm=253&fmt=auto&app=138&f=PNG?w=353&h=282)
当胸部ct发现有主动脉增宽,你会怎么处理? [病例帖]
图片尺寸353x282
丁香园论坛
图片尺寸2448x2448