胸膜粘连ct图片

2020年10月ct:右肺上叶少量纤维灶,未显示明确胸膜黏连,增厚征象
图片尺寸3498x2592
我院完成一例高龄患者"胸腔镜下胸膜粘连松解肺大疱切除术"
图片尺寸4032x3024
我的右侧胸膜增厚粘连,严重不?
图片尺寸1280x960
凉州区中西医结合医院呼吸内科经胸腔镜顺利完成一例广泛胸膜粘连检查
图片尺寸1080x3058
其它 教你读懂胸部ct报告 写美篇什么是胸膜增厚?
图片尺寸1108x845
这是肺纤维化,胸膜粘连还是肺韧带? - 儿科专业讨论版 -丁香园论坛
图片尺寸3024x3024![有说肺纤维化的有说胸膜粘连的还有说肺底韧带 [病例帖]](https://i.ecywang.com/upload/1/img0.baidu.com/it/u=413186576,252288257&fm=253&fmt=auto&app=138&f=JPEG?w=500&h=667)
有说肺纤维化的有说胸膜粘连的还有说肺底韧带 [病例帖]
图片尺寸1080x1440
胸膜粘连的症状诊断以及治疗
图片尺寸640x745
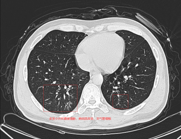
右下肺明显;右肺下叶后段伴有肺间质纤维化及胸膜粘连影像检查:ct平扫
图片尺寸618x474
这是肺纤维化,胸膜粘连还是肺韧带? - 儿科专业讨论版 -丁香园论坛
图片尺寸3024x3024
复查胸部ct:仍示上肺空洞,肺尖部胸膜广泛粘连.
图片尺寸1080x810
这是肺纤维化,胸膜粘连还是肺韧带? - 儿科专业讨论版 -丁香园论坛
图片尺寸3024x3024
严重胸膜粘连患者
图片尺寸1600x1200
这是肺纤维化,胸膜粘连还是肺韧带? - 儿科专业讨论版 -丁香园论坛
图片尺寸3024x3024
胸部ct学习系列之一胸膜病变
图片尺寸687x535
其它 教你读懂胸部ct报告 写美篇什么是胸膜增厚?
图片尺寸936x581
胸膜炎一年了如何治疗
图片尺寸1536x2048
这是肺纤维化,胸膜粘连还是肺韧带? - 儿科专业讨论版 -丁香园论坛
图片尺寸3024x3024
左侧胸膜带状肥厚粘连合并胸膜肥厚粘连2.jpg
图片尺寸924x829
右下肺明显;右肺下叶后段伴有肺间质纤维化及胸膜粘连影像检查:ct平扫
图片尺寸577x477